Epidural analgesia in patients with thrombocytopenia. Clinical case
- Authors: Goncharova E.V.1,2, Polushin A.Y.1, Kucher M.A.1, Ermolova M.V.1, Zalyalov Y.R.1, Portnyagin I.V.1, Bogomolny M.P.1, Sokolov A.Y.2,3, Ulrikh G.E.4
-
Affiliations:
- Raisa Gorbacheva Memorial Research Institute of Pediatric Oncology, Hematology and Transplantation, Pavlov First Saint-Petersburg State Medical University
- Valdman Institute of Pharmacology, Pavlov First Saint-Petersburg State Medical University
- Pavlov Institute of Physiology of the Russian Academy of Sciences
- Saint Petersburg State Pediatric Medical University
- Issue: Vol 14, No 3 (2020)
- Pages: 164-170
- Section: Case reports
- Submitted: 07.01.2021
- Accepted: 07.01.2021
- Published: 07.01.2021
- URL: https://rjraap.com/1993-6508/article/view/57664
- DOI: https://doi.org/10.17816/RA57664
- ID: 57664
Cite item
Abstract
The article presents a clinical case of a 25-year-old patient with progressive diffuse B-cell lymphoma with lesions of the S2 nerve root, accompanied by pain syndrome that is not relieved by systemic multimodal analgesia using opioids, antiepileptic and non-steroidal anti-inflammatory drugs. Polyneuropathy, secondary immunodeficiency, thrombocytopenia grade IV refractory to platelet concentrate transfusion, Guillain-Barre syndrome, impaired the somatic status and intensified the pain syndrome. Local anesthetics epidural port was successfully implanted to improve quality of analgesia. As a result of prolonged epidural infusion of 0.2% ropivacaine with titration rate from 4 to 7 ml/hour depending on the severity of the pain syndrome, that significantly improved patient’s quality of life was achieved by reducing the intensity of pain and increasing duration of night sleep. In the early postoperative and long-term follow-up periods (14 days), there were no hemorrhagic and infectious complications associated with the use of the epidural port.
Keywords
Full Text
Методики спинальной и эпидуральной анестезии были разработаны в начале ХХ века и в настоящее время широко применяются в акушерской и хирургической практике в качестве компонента анестезии, а также для послеоперационного обезболивания пациентов [1].
Спецификой эпидуральной анестезии местным анестетиком является возможность развития блокады всех видов чувствительности, десимпатизации и миорелаксации на сегментарном уровне, что является востребованным при лечении пациентов с хронической болью. Вид и степень блокады зависит от применяемого анестетика и его концентрации.
Особенность спинальной анестезии состоит в том, что при интратекальном введении местных анестетиков блокада развивается не только на сегментарном уровне, но и затрагивает невральные структуры, располагающиеся каудальнее места введения препарата [2]. Обычно возникает чувствительная, моторная и симпатическая блокада без селективности, зависящей от концентрации препарата, характерной для эпидуральной блокады. Согласно данным литературы, эффективность регионарных методик в онкологической практике при лечении боли, связанной с терминальной стадией заболевания, достигает 72% [3].
Применение эпидуральной анальгезии у пациентов с онкологическими заболеваниями обеспечивает более высокое качество жизни за счёт длительного обезболивающего эффекта с меньшим количеством побочных эффектов по сравнению с системным введением опиоидов [4]. Стоит отметить, что с целью продления срока эксплуатации катетера без увеличения риска развития локальной инфекции в настоящее время используют полностью имплантируемые эпидуральные (спинальные) порт-системы.
Особенностью пациентов с онкологическими заболеваниями является высокий риск развития тромбоцитопении, например, в результате постцитостатической аплазии кроветворения, при инфильтрации костного мозга метастатическим процессом или в случае возникновения инфекционных осложнений.
Тромбоцитопения повышает риск геморрагических осложнений при проведении большинства инвазивных манипуляций. Так, в случае осуществления люмбальной пункции и эпидуральной катетеризации возрастает опасность образования эпидуральной гематомы с последующим развитием неврологического дефицита различной степени тяжести.
Это редкое, но опасное осложнение, частота встречаемости которого в акушерской практике колеблется от 1:200 000 до 1:168 000 случаев, а при проведении артропластики коленного и тазобедренного суставов у женщин составляет 1:3600 и 1:29 000 соответственно [5].
Единого протокола проведения регионарной анестезии в условиях тромбоцитопении на сегодняшний день не представлено. Тем не менее существуют рекомендуемые минимальные пороговые значения уровня тромбоцитов для выполнения люмбальной пункции: в США 50 × 109/л [6], в Великобритании для взрослых не ниже 50 × 109/л [7], для детей – 20–40 × 109/л [8], в России не ниже 20 × 109/л [9, 10]. Эпидуральную катетеризацию рекомендуется проводить при более высоком уровне тромбоцитов: во Франции он составляет не менее 80 × 109/л [11], в Великобритании, Италии и России – 50 × 109/л [7, 12, 13]. Данные литературы по безопасности проведения нейроаксиальных блокад, в частности, эпидуральной катетеризации, в условиях тяжёлой тромбоцитопении на сегодняшний день ограничены. В исследовании, проведённом Jeon Y.S. с коллегами говорится о том, что риск развития эпидуральной гематомы при количестве тромбоцитов 0–49 × 109/л составляет 11%, для 50–69 × 109/л – 3%, а для 70–100 × 109/л – 0,2% [14].
Важными факторами, влияющими на прогнозирование риска осложнений процедуры, будут являться причина тромбоцитопении, скорость её развития и наличие клинических и лабораторных признаков коагулопатии (15).
Цель настоящей работы заключается в представлении опыта обезболивания онкологического пациента с трудно контролируемым болевым синдромом на фоне тяжёлой тромбоцитопении.
Клинический случай
Пациент 25 лет с диагнозом «Диффузная В-крупноклеточная лимфома с поражением лёгких, почек, левого надпочечника, печени». Состояние после 4 линий химиотерапии (R-CHOP, R-HMA/R-DHAP, miniBEAM, ViGePP). Химиорезистентное течение.
На фоне прогрессирования основного заболевания у пациента отмечалось развитие двух эпизодов болевого синдрома в левой нижней конечности. Интенсивность боли удавалось снизить на 50% и более введением трамадола в дозе 400 мг/сут. После проведения курсов химиотерапии потребность в анальгетиках уменьшалась. Из осложнений терапии отмечались анемия 2 ст., нейтропения 4 ст., тромбоцитопения 4 ст., что потребовало заместительных гемотрансфузий.
В качестве дальнейшего лечения лимфомы был проведён курс химиотерапии, включавший ритуксимаб, циклофосфамид в высоких дозах и ниволумаб. Обезболивание осуществляли фентанилом 50 мкг/кг с помощью трансдермальной терапевтической системы (ТТС) и внутривенно трамадол 400 мг/сут., в комбинации с нестероидными противовоспалительными препаратами (НПВП). На этом фоне пациент предъявлял жалобы на жжение по задней поверхности верхней трети левого бедра (от 9 до 10 баллов по нумерической шкале), ощущение онемения и сильную колющую боль от копчика до левой пятки (от 4 до 10 баллов по нумерической шкале, по опроснику «Pain Detect» — 18 баллов). Выполнена модификация анальгетической терапии: отмена трамадола, назначение габапентина внутрь с постепенным увеличением дозы препарата до 1200 мг/сут. В результате цитостатической и противоболевой терапии отмечена положительная динамика в виде снижения интенсивности нейропатической и ноцицептивной болей до умеренной, не существенно влияющей на повседневную активность и не нарушающей ночной сон (около 4 баллов по нумерической шкале).
Пациент был переведён на амбулаторный этап лечения, однако в течение 2 нед. значительно наросла интенсивность боли в левой нижней конечности (до 9 баллов по нумерической шкале). Доза ТТС с фентанилом увеличена до 75 мкг/ч, габапентина – до 2100 мг/сут. Также в качестве адъювантной терапии вводили НПВП. На фоне проводимой терапии интенсивность боли удалось снизить до умеренной (менее 5 баллов по нумерической шкале). Выполнена магнитно-резонансная томография (МРТ) пояснично-крестцового отдела позвоночника.
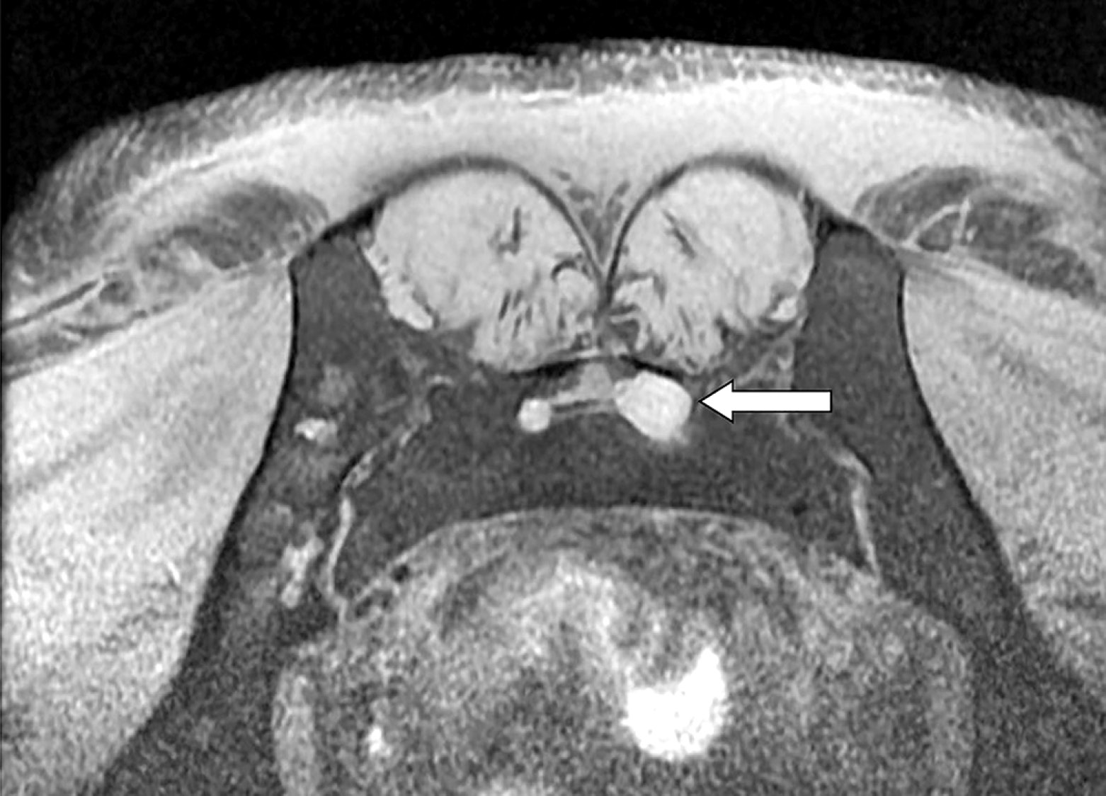
Учитывая данные МРТ, причиной интенсификации боли могло стать прогрессирование основного заболевания, которое проявилось в виде поражения периферической нервной системы (выявлено образование корешка на уровне S2 позвонка слева (см. рис.)).
Поражение корешка на уровне S2 позвонка. По данным МРТ (режим Т1) в просвете крестцового канала слева выявляется локальное утолщение корешка 1,1 × 3,0 см с расширением крестцового отверстия и активным накоплением контрастного препарата с быстрым его «вымыванием»
S2 root lesion. According to MRI (modeT1) there is a local thickening of the root 1.1 × 1.3 cm in the sacral canal with widening of sacral foramen and active contrast accumulation and rapid «washing out»
Также по результатам МРТ выявлены задняя центральная грыжа диска L4-5 (3 мм) и диффузные задние протрузии дисков L2-3, L3-4 (до 1 мм), не влияющие на клиническую картину.
С целью достижения ремиссии основного заболевания пациенту был проведëн курс полихимио-терапии по схеме флударабин, циклофосфамид, ниволумаб, осложнившийся развитием анемии, тромбоцитопении 4 ст., фебрильной нейтропении, а также острой аутоиммунной воспалительной демиелинизирующей полирадикулоневропатии (синдром Гийена-Барре), вероятно, связанной с введением ниволумаба (Grade 3 по CTCAE 5.0) [16].
Пациент предъявлял жалобы на онемение в обеих нижних конечностях до средних третей голеней, усиление боли ноющего характера в наружной и боковой поверхностях бедер с обеих сторон, жгучую боль в ягодичной области и стопах, усиливающуюся при вертикализации. Также беспокоили нарушение чёткости зрения и ухудшение сна по причине болевого синдрома. В клинической картине выявлены ограничение движений в ногах из-за снижения мышечной силы до 2 баллов (по 6-балльной шкале оценки мышечной силы), тепловая и холодовая гипералгезии, которым сопутствовали нарушение функции тазовых органов (НФТО) (задержка мочеиспускания, неконтролируемая дефекация), дизартрия и эмоциональная лабильность.
Симптомов предшествующих инфекций не отмечалось. Антитела к ганглиозидам, IgM-антитела к цитомегаловирусу и Campylobacter jejuni не выявлены. Анализ ликвора: цитоз 8/3, белок 640 мг/л, бесцветный, прозрачный. По данным электронейромиографии выявлены признаки аксонального повреждения нервов.
Патогенетическая терапия включала внутривенную инфузию иммуноглобулина человека (40 мг/кг/сут. в течение 5 дней). Параллельно с целью контроля болевого синдрома пациент был переведён с ТТС на внутривенное микроструйное введение фентанила, увеличен пероральный приём габапентина до 3000 мг/сут. В течение нескольких сут. проводимой терапии и поэтапного повышения доз анальгетиков не удалось достичь удовлетворительного купирования боли (интенсивность постоянной боли достигала 9 баллов по нумерической шкале, по опроснику «Pain Detect» – 22 балла) при сохранении неврологических нарушений со стороны нижних конечностей и тазовых органов.
Исходя из клинической ситуации, было принято решение об использовании регионарных методик лечения боли в виде продлённой спинальной анальгезии с применением местных анестетиков. Для проведения манипуляции была выбрана полностью имплантируемая эпидуральная (спинальная) порт-система (B.Braun Melsungen AG, Германия).
В рамках предоперационной подготовки, с учётом наличия тромбоцитопении 4 ст. (6 × 109/л), за 1 ч до процедуры пациенту была выполнена трансфузия 1 дозы тромбоцитов восстановленных, пулированных, объёмом 220 мл и 2 доз тромбоцитов, полученных методом афереза, объёмом 130 и 140 мл.
Несмотря на адекватную по качеству и количеству гемотрансфузионную терапию сохранялась рефрактерная тромбоцитопения (8 × 109/л).
Было проведено повторное коллегиальное обсуждение пациента с рассмотрением потенциальных пользы и рисков вмешательства. С учётом существующего неврологического дефицита, неблагоприятного прогноза по основному заболеванию, быстро нарастающей не купирующейся боли, было принято решение о проведении запланированной процедуры. В условиях операционной, при мониторинге витальных функций, включавшем пульсоксиметрию, неинвазивное измерение артериального давления и ЭКГ, инфильтрационной анестезии 2% раствором лидокаина на уровне L4–L5 была произведена попытка пункции твёрдой мозговой оболочки, которая вызвала нестерпимую боль в области поясницы с иррадиацией в ягодицы. В ходе операции было принято решение ввести полиуретановый катетер с металлическим мандреном эпидурально до уровня L5–S1. Данная манипуляция прошла безболезненно. Тест-дозу лидокаина в форме 1% раствора в объёме 4 мл пациент перенёс без признаков внутрисосудистого или субдурального введения. Катетер был проведён под кожей от места пункции на переднебоковую поверхность грудной клетки справа, где был соединён с камерой порта, расположенной в подкожном кармане. В камеру была установлена игла Губера. Наложена асептическая повязка.
В послеоперационном периоде в условиях гематологического отделения была продолжена внутривенная терапия фентанилом и габапентином в прежних дозах и начата эпидуральная инфузия ропивакаина в форме 0,2% раствора со скоростью 4 мл/ч, осуществляемая при помощи перистальтического насоса Micrel Rythmic (Micrel Medical Devices S.A., Греция) для более точного контроля скорости введения по сравнению с эластомерной помпой.
Отмечена положительная динамика в виде снижения интенсивности боли более чем на 50% – уменьшение ощущения жжения в области голеней интенсивностью около 1–2 баллов в покое и до 4–6 баллов при надавливании на стопы, отсутствие боли в бёдрах и ягодичной области, увеличение длительности непрерывного ночного сна с 1,5 до 4 ч. При этом основной причиной пробуждения служили появившиеся позывы к мочеиспусканию.
В дальнейшем интенсивность болевого синдрома возрастала: боль в голенях достигла 4 баллов в покое (по шкале «Pain Detect» – 21); боль другой локализации пациент не отмечал. Несмотря на отсутствие инструментального контроля основного заболевания (МРТ не выполняли из-за тяжести состояния пациента), клиническую картину расценивали как прогрессирование лимфомы. Нарастание интенсивности боли в свою очередь потребовало увеличения скорости введения 0,2% раствора ропивакаина до 7 мл/ч, что способствовало достижению уровня анальгезии, при котором у пациента отсутствовали жалобы на боль.
Через 14 сут. от момента имплантации эпидурального порта на фоне прогрессии основного заболевания, сохранявшейся постцитостатической панцитопении, сепсиса, не связанного с наличием инородного тела, и нарастающего синдрома полиорганной недостаточности пациент скончался.
Обсуждение
Боль изменяет качество жизни и социальную активность человека, влияя на повседневную деятельность, эмоциональную составляющую и возможность общения с окружающими. Особое значение контроль над болью имеет в составе паллиативной терапии у пациентов с онкологическими заболеваниями. Ключевой задачей при этом является избавление от страдания – у каждого пациента есть право на «облегчение боли, связанной с заболеванием и (или) медицинским вмешательством, доступными средствами» [17].
В представленном нами клиническом случае состояние пациента осложнялось не только прогрессией лимфомы с тромбоцитопенией, но и развитием синдрома Гийена-Барре – редким осложнением терапии ниволумабом.
У пациентов со злокачественными новообразованиями данное осложнение встречается менее чем в 1% случаев, но при отсутствии ответа на терапию сопровождается высокой летальностью по сравнению с лицами, страдающими синдромом Гийена-Барре и не имеющими фонового онкологического заболевания [18–20].
В нашем случае неврологический дефицит был представлен глубоким нижним парапарезом и НФТО по смешанному типу, сопровождающимися выраженным болевым синдромом.
В сложившейся ситуации (недостаточный эффект системно вводимых анальгетиков, быстрое нарастание интенсивности и локализация боли в нижних конечностях) было принято решение о применении инвазивных методик анальгетической терапии. С учётом наличия у пациента тромбоцитопении изначально была выбрана спинальная катетеризация, допустимая при более низком уровне тромбоцитов по сравнению с эпидуральной. Однако невозможность пункции твëрдой мозговой оболочки из-за выраженного болевого синдрома, а также уже существующие у пациента парапарез и НФТО, повлияли на выбор подхода к реализации анальгезии.
В итоге, с целью осуществления продлённой регионарной анестезии катетер был имплантирован эпидурально.
В результате модификации анальгетической терапии удалось улучшить качество жизни пациента за счёт снижения интенсивности боли и увеличения продолжительности ночного сна.
Заключение
Представленный клинический случай описывает эффективный контроль болевого синдрома в результате поражения периферической нервной системы у пациента с прогрессирующим течением неходжкинской лимфомы при помощи регионарной анестезии. Имплантация эпидуральной порт-системы на фоне рефрактерной тромбоцитопении 4-й степени (8 × 109/л) по клиническим и лабораторным признакам не привела к развитию геморрагических осложнений.
About the authors
E. V. Goncharova
Raisa Gorbacheva Memorial Research Institute of Pediatric Oncology, Hematology and Transplantation, Pavlov First Saint-Petersburg State Medical University; Valdman Institute of Pharmacology, Pavlov First Saint-Petersburg State Medical University
Author for correspondence.
Email: ek.v.goncharova@gmail.com
ORCID iD: 0000-0003-4789-7460
MD, anesthesiologist
Russian Federation, Saint PetersburgA. Y. Polushin
Raisa Gorbacheva Memorial Research Institute of Pediatric Oncology, Hematology and Transplantation, Pavlov First Saint-Petersburg State Medical University
Email: ek.v.goncharova@gmail.com
ORCID iD: 0000-0001-8699-2482
Russian Federation, Saint Petersburg
M. A. Kucher
Raisa Gorbacheva Memorial Research Institute of Pediatric Oncology, Hematology and Transplantation, Pavlov First Saint-Petersburg State Medical University
Email: ek.v.goncharova@gmail.com
ORCID iD: 0000-0001-6114-3214
Russian Federation, Saint Petersburg
M. V. Ermolova
Raisa Gorbacheva Memorial Research Institute of Pediatric Oncology, Hematology and Transplantation, Pavlov First Saint-Petersburg State Medical University
Email: ek.v.goncharova@gmail.com
ORCID iD: 0000-0002-1630-7221
Russian Federation, Saint Petersburg
Y. R. Zalyalov
Raisa Gorbacheva Memorial Research Institute of Pediatric Oncology, Hematology and Transplantation, Pavlov First Saint-Petersburg State Medical University
Email: ek.v.goncharova@gmail.com
ORCID iD: 0000-0002-3881-4486
Russian Federation, Saint Petersburg
I. V. Portnyagin
Raisa Gorbacheva Memorial Research Institute of Pediatric Oncology, Hematology and Transplantation, Pavlov First Saint-Petersburg State Medical University
Email: ek.v.goncharova@gmail.com
ORCID iD: 0000-0003-4720-0213
Russian Federation, Saint Petersburg
M. P. Bogomolny
Raisa Gorbacheva Memorial Research Institute of Pediatric Oncology, Hematology and Transplantation, Pavlov First Saint-Petersburg State Medical University
Email: ek.v.goncharova@gmail.com
ORCID iD: 0000-0001-5721-3259
Russian Federation, Saint Petersburg
A. Y. Sokolov
Valdman Institute of Pharmacology, Pavlov First Saint-Petersburg State Medical University; Pavlov Institute of Physiology of the Russian Academy of Sciences
Email: ek.v.goncharova@gmail.com
ORCID iD: 0000-0002-6141-486X
Russian Federation, Saint Petersburg
G. E. Ulrikh
Saint Petersburg State Pediatric Medical University
Email: ek.v.goncharova@gmail.com
ORCID iD: 0000-0001-7491-4153
Russian Federation, Saint Petersburg
References
- Koryachkin VA. History of neuroaxial blockages (spinal anesthesia). Regionarnaya аnesteziya i lechenie ostroy boli. 2008;11(1):51–7. (in Russ).
- Zabolotskiy DV, Koryachkin VA, Ulrikh GE, Ivanov MD, Stepanenko SM, Pogorelchuk VV. Draft clinical guidelines for the use of neuroaxial anesthesia in children for perioperative analgesia. Regionarnaya аnesteziya i lechenie ostroy boli. 2017;11(4):279–90. doi: 10.18821/1993-65 08-2017-11-4-279-290. (in Russ).
- Ballantyne JC, Carwood CM. Comparative efficacy of epidural, subarachnoid, and intracerebroventricular opioids in patients with pain due to cancer. Cochrane Database Syst. Rev. 2005;25(1):CD005178. doi: 10.1002/14651858.CD011980.pub3.
- He QH, Liu QL, MM, Li, Li KZ, Xie YG. Impact of epidural analgesia on quality of life and pain in advanced cancer patients. Pain Manag. Nurs. 2015;16(3):307–13. doi: 10.1016/j.pmn.2014.08.003
- Bailey LJ, Shehata N, De France B, Carvalho JCA., Malinowski AK. Obstetric neuraxial anesthesia at low platelet counts in the context of immune thrombocytopenia: a systematic review and meta-analysis. Can. J. Anaesth. 2019;66(11):1396–414. doi: 10.1097/01.aoa.0000693856.20785.be.
- Kaufman RM, Djulbegovic B, Gernsheimer T, Kleinman S, Tinmouth AT, Capocelli KE et al. Platelet transfusion: a clinical practice guideline from the AABB. Annals of Internal Medicine. 2015;162(3):205–13. doi: 10.7326/M14-1589.
- BCSH; British Committee for Standards in Haematology: guidelines for the use of platelet transfusions. British Journal of Haematology. 2003;122(1):10–23. doi: 10.1046/j.1365-2141.2003.04468.x
- Gibson BE, Todd A, Roberts I, Pamphilon D, Rodeck C, Bolton-Maggs P et al. Transfusion guidelines for neonates and older children. British Journal of Haematology. 2004;124(4):433–53. doi: 10.1111/j.1365-2141.2004.04815.x.
- Zhukov NV. Thrombocytopenia and platelet transfusion. In: Gel’fand B.R., Saltanov A.I. Intensive care. National guide in 2 volumes. [Intensivnaya terapiya. Natsional’noe rukovodstvo v 2 tomakh.] Moscow: GEOTAR-Media; 2011;2:93. (in Russ).
- Ragimov AA, Shcherbakova GN. Infusion-transfusion therapy 2010. [Infuzionno-transfuzionnaya terapiya 2010.] Moscow: GEOTAR-Media; 2017:56. (in Russ).
- Samama CM, Djoudi R, Lecompte T, Nathan-Denizot N, Schved JF. Perioperative platelet transfusion: recommendations of the Agence Française de Sécurité Sanitaire des Produits de Santé (AFSSaPS) 2003. Canadian Journal of Anesthesia. 2005;52(1):30–7. doi: 10.1007/BF03018577.
- Liumbruno GM, Bennardello F, Lattanzio A, Piccoli P, Rossetti G. Recommendations for the transfusion management of patients in the peri-operative period. I. The pre-operative period. Blood Transfusion. 2011;9(1):19–40. doi: 10.2450/2010.0074-10
- Ovechkin AM. Protocol of epidural anesthesia. Available at: http://www.anest-cfo.ru/wp-content/uploads/2015/09/Протокол-эпидуральной-анестезии.docx.pdf (accessed : 26 August 2020.) (in Russ).
- Jeon YS, Lee JA, Choi JW, Kang EG, Jung HS, Kim HK et al. Efficacy of epidural analgesia in patients with cancer pain: a retrospective observational study. Yonsei Med. J. 2012;53(3):649–53. doi: 10.3349/ymj.2012.53.3.649
- Veen JJ, Nokes TJ, Makris M. The risk of spinal haematoma following neuraxial anaesthesia or lumbar puncture in thrombocytopenic individuals. Br. J. Haematol. 2010;148(1):15–25 doi: 10.1111/j.1365-2141.2009.07899.x
- Hottinger AF. Neurologic complications of immune checkpoint inhibitors. Curr. Opin. Neurol. 2016;29(6):806–12. doi: 10.1097/WCO.0000000000000391
- Ulrikh GE. Treatment of chronic pain in children with cancer. Textbook for doctors. Saint Petersburg: Tipographiya Mikhaila Fursova; 2014.32. (in Russ).
- Nivolumab. Instructions for use of the drug. State register of medicinal products of Russia. Available at: https://grls.rosminzdrav.ru/Grls_View_v2.aspx?routingGuid=0cc9c236-c5dd-447c-87d6-f112e77047e0&t= (accessed: 26 August 2020.) (in Russian)
- Nukui T, Nakayama Y, Yamamoto M, Taguchi Y, Dougu N, Konishi H et al. Nivolumab-induced acute demyelinating polyradiculoneuropathy mimicking Guillain-Barré syndrome. J. Neurol. Sci. 2018;390:115–6. doi: 10.1016/j.jns.2018.04.028
- Yildirim N, Gonen M, Balgeti F, Er MB. Fatal acute motor axonal neuropathy induced by nivolumab: a case report and literature review. Сlin. Genitourin. Cancer. 2019;17(6):e1104–e1107. doi: 10.1016/j.clgc.2019.07.020
Supplementary files




