Comparative evaluation of two methods of prolonged femoral nerve block using an elastomeric pump after knee arthroplasty: a prospective randomized controlled study
- Authors: Krylov S.V.1,2, Pasechnik I.N.2
-
Affiliations:
- Priorov National Medical Research Center of Traumatology and Orthopedics
- Central State Medical Academy
- Issue: Vol 18, No 1 (2024)
- Pages: 53-62
- Section: Original study articles
- Submitted: 28.11.2023
- Accepted: 16.01.2024
- Published: 26.03.2024
- URL: https://rjraap.com/1993-6508/article/view/623946
- DOI: https://doi.org/10.17816/RA623946
- ID: 623946
Cite item
Abstract
BACKGROUND: The number of knee arthroplasty (KA) surgeries is increasing annually. These surgeries are associated with severe pain. The optimal method of choice in perioperative analgesia in these patients remains controversial. The use of regional analgesia, including prolonged analgesia, allows for high pain relief and increased patient satisfaction. Modern elastomeric pumps (EP) provide prolonged conduction analgesia, which significantly expands the possibilities of perioperative pain relief.
OBJECTIVE: To evaluate the effectiveness of prolonged femoral nerve block using EP with and without bolus after KA.
MATERIALS AND METHODS: This prospective randomized study included 75 patients who were divided into two clinical groups: group 1 (n=36), patients who received prolonged regional analgesia using EP with controlled injection without bolus, and group 2 (n=39), patients who received prolonged regional analgesia using EP with bolus. In the postoperative period, the level of pain at rest and during movement was assessed after 6, 12, 24, and 48 hours as well as the need for opioid analgesics, consumption of local anesthetic for various options of continued regional analgesia, quadriceps femoris muscle function, and distance traveled by patients after surgery in the first 2 days.
RESULTS: No significant differences were noted in pain level at rest and during movement in the observation period between the groups (p=0.213). No additional prescription of opioid analgesics was required. Local anesthetic consumption was lower in group 2 (group 1.384±33.4 ml; group 2.237±25.1 ml; p=0.031). Patients in group 2 had greater activity in knee extension and, thus, greater distance traveled after surgery.
CONCLUSION: The use of EP with a bolus has been demonstrated to provide adequate levels of analgesia and better functional recovery in patients with bolus after KA than in patients without bolus. This technique is recommended as a component of enhanced recovery program after surgery.
Keywords
Full Text
BACKGROUND
The number of knee arthroplasties (KAs) is increasing each year [1]. KA procedures may restore normal knee function, resume patients’ normal activities, and alleviate joint pain. However, knee arthroplasty is associated with a severe perioperative pain. Optimal postoperative analgesia plays a pivotal role in the postoperative recovery process, prevention of complications and ultimately determines favorable surgical outcomes. However, it is evident that early rehabilitation can only be achieved if the patient is provided with an adequate intraoperative anesthesia [2].
In recent decades, postoperative regional anesthesia has been extensively used in trauma and orthopedics units. Several studies have demonstrated that a post-KA femoral nerve block (FNB) can provide adequate analgesia while reducing opioid requirements [3]. The analgesic efficacy of FNB administered as part of a multimodal analgesia regimen for KA patients can contribute to early rehabilitation and enhanced post-surgical recovery [4].
Continuous conduction analgesia has enabled a transition from single-shot peripheral blocks to continuous ones. Elastomeric pumps (EPs) designed to deliver local anesthetics have significantly expanded the range of postoperative modalities for continuous regional analgesia. It is important to note that finding an optimal technique for EP-based local anesthetic infusion remains a topic of ongoing investigation by numerous authors [5, 6].
Continuous infusion of local anesthetic is an effective technique of perioperative analgesia. However, a higher infusion rate during continuous FNB may contribute to quadriceps femoris weakness, which can impede the recovery process and increase the risk of falling [7–9].
By triggering EPs, patients can self-administer supplementary boluses of local anesthetic, which enables them to engage in anesthesia and, furthermore, perform preemptive analgesia during mobilization and physical therapy.
A paucity of evidence in the Russian literature to substantiate the advantages of specific EP-based techniques has provided a rationale for this study.
AIM
Our aim was to assess the efficacy of continuous FNB by patient-controlled analgesia with basal infusion of local anesthetic with or without the option for the patient to self-administer a supplementary bolus.
MATERIALS AND METHODS
Study design
This was a prospective, randomized, controlled study.
Randomization
The study enrolled 75 patients who underwent an elective primary total KA (TKA). Immediately before surgery, the patients were randomly assigned to either clinical group 1 (n=36) or clinical group 2 (n=39) using the envelope method, with each patient selecting one of two allocation envelopes.
Eligibility criteria
Inclusion criteria:
- written informed consent to participate in the study and have the study results published without compromising data confidentiality;
- no contraindications to regional anesthesia;
- an ability to cooperate at the study stages.
Non-inclusion criteria:
- withdrawal of the informed consent;
- coagulopathy;
- a history of drug abuse;
- cognitive impairment.
Exclusion criteria: transition from spinal to general anesthesia due to technical difficulties.
Study conditions and duration
The study was conducted between April and August 2023 at the Anesthesiology and Critical Care Unit No. 2 of the Priorov National Research Medical Center for Traumatology and Orthopedics (Moscow).
Subgroup analysis
The study subjects were assigned to one of the two clinical groups: Group 1 (n=36) with continuous FNB using a continuous basal-only infusion; Group 2 (n=39) with continuous FNB using basal infusion with supplementary boluses.
Medical intervention
Surgical intervention
All surgical interventions were performed with spinal anesthesia. When changing the type of anesthesia (due to technical difficulties associated with spinal anesthesia failure), the patients were supposed to be excluded from the study; however, no such cases were reported. Once the patient was brought to the operating room, the ASA standards for basic anesthetic monitoring were initiated, including measurements of heart rate, oxygenation, and body temperature, electrocardiography recording, and noninvasive blood pressure measurement.
After a pre-load with isotonic solution 500 mL, spinal anesthesia was aseptically performed at the level of LIII–LIV intervertebral spaces. Intrathecal isobaric bupivacaine 12.5 mg (Novosibkhimpharm, Russia) was used for spinal anesthesia. The hypnotic effect was achieved by continuous infusion of propofol (Fresenius Kabi, Germany) at 2–3 mg/kg/hour. Subsequently to the surgical procedure and return to consciousness, the patients were transferred to the post-anesthetic care unit for postoperative monitoring. Prior to the transfer, the femoral nerve was catheterized in the operating room. Following a two-hour post-anesthetic monitoring, patients were transferred to a specialized unit where a local anesthetic infusion was initiated. Upon admission, the study subjects were informed about the EP operating principles and the option of postoperative anesthesia that would be used in a particular case. The patients could routinely request assistance with the ongoing continuous analgesia from a health care staff member.
Femoral nerve catheterization
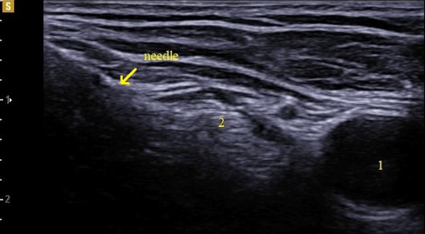
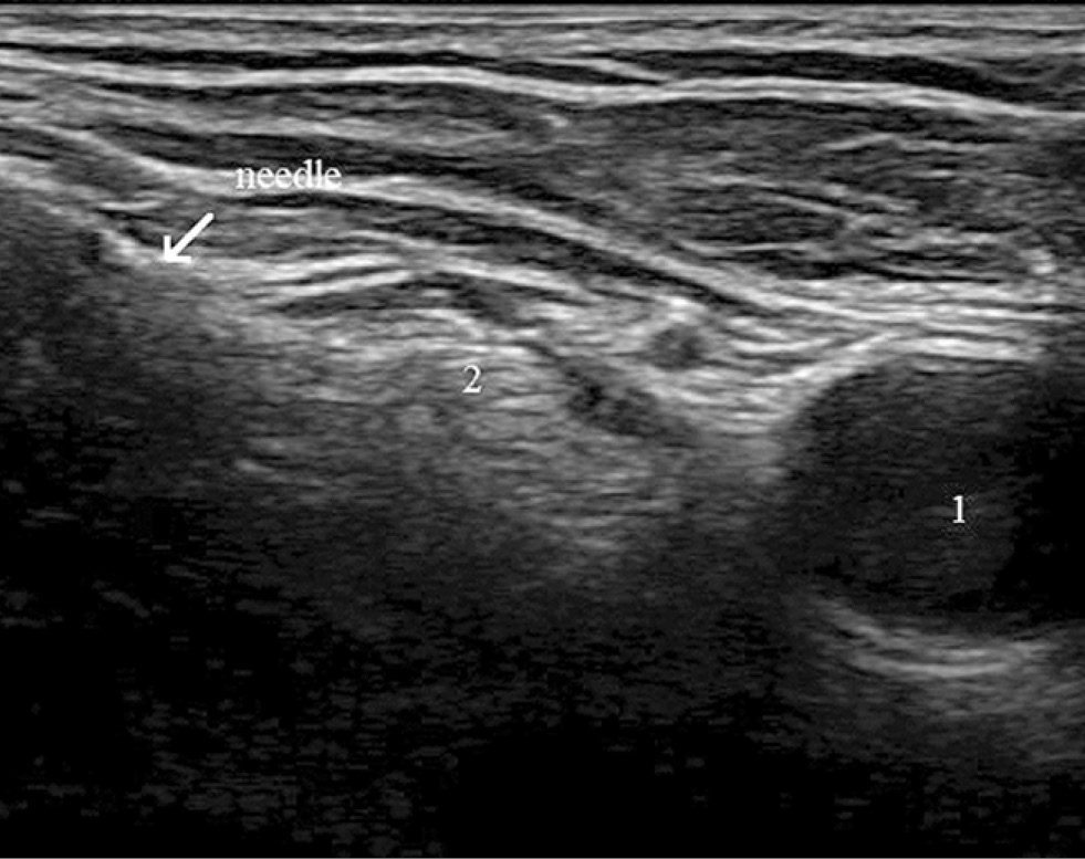
To mitigate the probability of technical complications, regional anesthesia was performed by the same anesthesiologist with expertise in ultrasound-guided regional anesthesia and nerve catheterization. The femoral nerves were catheterized aseptically via the ultrasound-guided technique using a Samsung HM70 Ultrasound System (Samsung Medical, South Korea) and a sterile, disposable Kontiplex Tuohy continuous peripheral nerve block catheter set (B. Braun, Germany). A 15 MHz linear transducer was positioned on the femoral crease to visualize the femoral artery, vein, and nerve (Fig. 1).
Fig. 1. Ultrasound image of the femoral nerve.
Note. 1 — femoral vein, 2 — femoral artery, 3 — femoral nerve.
After the femoral nerve was identified laterally, an insulated block needle was inserted in-plane and advanced toward the lower portion of the femoral nerve, and 5 mL of ropivacaine 0.2% was injected (Fig. 2).
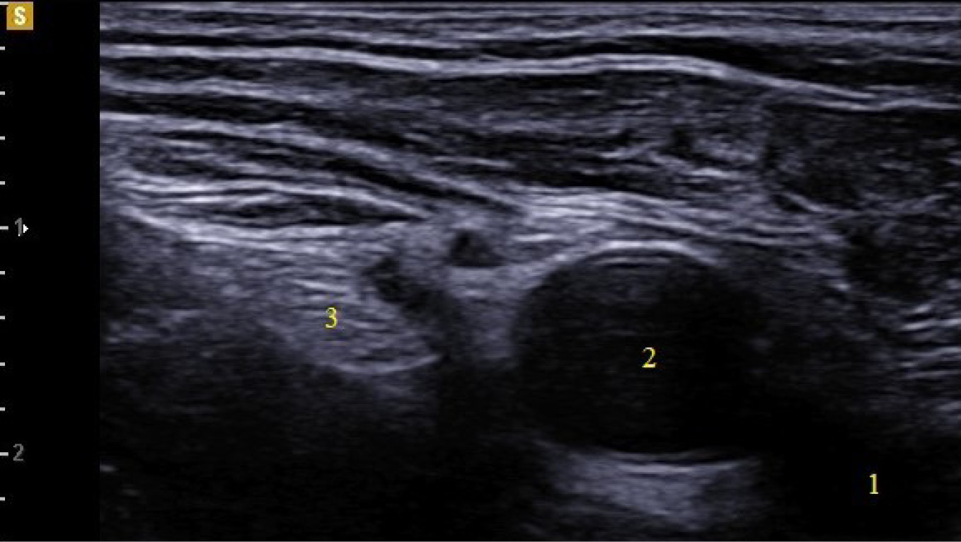
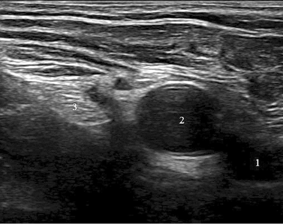
Fig. 2. Ultrasound image of the femoral nerve.
Note. 1 — femoral vein, 2 — femoral artery, 3 — femoral nerve.
Using a catheter-through-needle technique, a perineural catheter was positioned at 2 cm from the femoral nerve (Fig. 3).
Fig. 3. Femoral nerve catheter.
Note. 1 — femoral artery, 2 — femoral nerve.
After the procedure, the catheter was secured with Band-Aid directly to the skin (Fig. 4).
Fig. 4. Fixation of the catheter.
A multimodal analgesia regimen was used in the postoperative period. Patients received a combination of paracetamol 1 g 3 times daily and ketorolac 30 mg 3 times daily. If a first-line therapy was ineffective, an opioid analgesic (trimeperidine 2%) was initiated.
In the study, a continuous block anesthesia was achieved with the administration of ropivacaine 0.2% (Fresenius Kabi Deutschland Gmbh, Russia) as a local anesthetic. Accufuser M8P elastomeric infusion pump (WU YANG MEDICAL RUS, South Korea) was used. The initial filling volume of the EPs was 300 mL in both groups, while the basal rate through the perineural catheters was initially set at 4 mL/h. The EPs were available with flow rates ranging from 4 to 12 mL/h. Group 2 patients had the option of self-administering a supplementary fixed-volume bolus of local anesthetic (2 mL), with a 15-minute bolus lockout.
Study outcomes
Primary outcome
The primary study endpoints included an assessment of the pain severity at rest and on movement at 6, 12, 24, and 48 hours. The pain severity was graded using the 10-point Visual Analogue Scale (VAS), with 0 representing no pain; 1–3, mild pain; 4–6, moderate pain; 7–9, severe pain; 10, unbearable pain. Additionally, the opioid requirements among the study patients were recorded.
Secondary outcomes
Secondary endpoints included the analysis of local anesthetic exposure with various options of continuous analgesia and the assessment of quadriceps femoris function and distances covered postoperatively.
Outcome measurements
A goniometer was used to measure the quadriceps femoral muscle strength before surgery and at 6, 12, 24, 48 hours postoperatively. During the Timed Up and Go test used to assess the covered distance, the study patients were asked to stand from a bed and walk forward as far as possible until they felt any discomfort or, if necessary, stop and sit down on a chair.
Ethical approval
The study was conducted as part of a thesis work approved by the Local Ethics Committee of the Central State Medical Academy (Protocol No. 4/2021 of November 20, 2021).
Statistical analysis
Sample size calculation
Initially, the sample size was not estimated due to the limited availability of elastomeric infusion pumps for the study. Based on the retrospective calculation, the sample size was 63 patients with 75 EPs available to achieve 95% power with a 5% margin of error.
Statistical methods
The statistical analysis was performed using Microsoft Excel software package (Microsoft Corp., USA) and STATISTICA v. 8.0 (StatSoft Inc., USA). Normal variables were presented as absolute values (n) with percentages of the total number of observations (%). The data were presented as the arithmetic mean and standard deviations (M ± σ). The Shapiro–Wilk test was used to determine whether a dataset followed a normal distribution. If data were found to be normally distributed, the groups were evaluated using the Student’s t-test. Otherwise, the Mann–Whitney U-test was used to compare differences between the two groups. The differences were considered statistically significant at p <0.05.
RESULTS
Study subjects
The clinical and demographic characteristics at the study enrollment are presented in Table 1. There were no statistically significant differences in anthropometrics, age, and preoperative pain severity. More women with ASA I and II than men were enrolled in this study (ASA is the American Society of Anesthesiologists classification, which is an assessment of the patient’s preoperative physical status).
Table 1. Patient baseline
Characteristic | Group 1 (n=36) | Group 2 (n=39) |
Height, cm | 168.3±14.3 | 164±12.1 |
Body weight, kg | 83±10.7 | 88±12.4 |
Age, years | 61±9.4 | 57±10.2 |
Gender, M / F | 12/24 | 10/29 |
Pre-operative pain, VAS score | 3.1±0.9 | 2.5±0.7 |
ASA I/II/III | 5/20/11 | 3/23/13 |
Note. ASA — anesthetic assessment of the patient’s physical status.
There were no significant differences in surgical extent, duration, and intraoperative blood loss between the groups (p=0.317).
The postoperative scores for pain at rest and on movement are presented in Table 2.
Table 2. Level of pain at rest and in movement
Time point | Group 1 (n=36) | Group 2 (n=39) |
Pain VAS at rest, score | ||
6 h | 1.5±0.4 | 1.3±0.2 |
12 h | 1.3±0.3 | 1.2±0.3 |
24 h | 1.4±0.5 | 1.5±0.4 |
48 h | 1.4±0.4 | 1.6±0.3 |
Motion-evoked pain VAS, score | ||
6 h | 1.4±0.4 | 1.1±0.5 |
12 h | 1.7±0.5 | 1.8±0.3 |
24 h | 1.6±0.3 | 1.7±0.5 |
48 h | 1.7±0.6 | 1.9±0.4 |
Note. VAS — a visual analogue scale.
No significant differences were observed between the groups in the severity of both pain at rest and on movement at any time point (p >0.05).
None of the patients required opioid analgesia, as adequate postoperative analgesia was achieved.
The analysis comparing the amount of local anesthetic between groups showed that at 48-hour follow-up, total exposure was significantly lower in those who received basal infusions with supplementary boluses compared to basal-only infusions (384±33.4 mL for Group 1, 237±25.1 mL for Group 2; p=0.031).
Similarly, the patients in Group 2 demonstrated a better ability to perform active knee extensions than those in Group 1, with the preoperative baseline values being comparable between the groups (p=0.144). The results are presented in Table 3.
Table 3. Indicators of extension in the knee joint in degrees
Time | Group 1 (n=36) | Group 2 (n=39) |
Preoperative | ||
0 h | 76±7.8 | 72±6.2 |
Postoperative | ||
6 h | 38±5.3 | 67±5.7* |
12 h | 43±6.7 | 71±4.6* |
24 h | 48±5.1 | 76±5.9* |
48 h | 47±5.8 | 75±5.6* |
Note. * p <0.05.
As for the covered distance, the patients in Group 2 demonstrated a longer walking distance than those in Group 1. The results are shown in Fig. 5.
Fig. 5. Distance traveled by patients after surgery.
Note. * p <0.05.
DISCUSSION
Summary of primary study outcome
The results demonstrate that adequate anesthesia for KA can be achieved with continuous FNB using EP technique. Continuous regional analgesia contributes to reduced opioid requirements postoperatively. Self-administered boluses improve postoperative knee functional recovery and range of motion compared to basal infusion. Reducing the amount of local anesthetic ensured by supplementary boluses is associated with improved safety of local anesthetic administration and has a financial benefit.
Discussion of primary study outcome
Currently, regional anesthesia is actively developing in various areas of surgery, including traumatology and orthopedics. Previously, it was limited to single-shot blocks. However, with continuous regional analgesia and EPs, pain relief can be prolonged.
The number of orthopedic knee surgeries are increasing each year, so anesthesiologists and clinicians show a great interest in postoperative analgesia and early mobilization [10]. The search for the most effective and safe perioperative anesthetic regimens after KA remains ongoing [11, 12].
One of the major advantages of continuous peripheral nerve blocks is that they can be administered for several days, making them indisputably superior to single-shot blocks, the duration of which is limited by the local anesthetic volume and concentration.
In this study, there were no differences in the severity of pain at rest and on movement at all time points in the study groups, which suggests that continuous conduction analgesia allows for adequate pain relief up to 48 hours after KA. Our findings are consistent with those from previous studies, which indicate that continuous peripheral nerve blocks using EP can effectively reduce pain both at rest and on movement within the first 72 hours following KA, when compared to single-shot blocks [12].
A review of the existing literature has not yielded a clear answer as to which method of perineural infusion is the most effective [5].
Aguirre et al. demonstrated that continuous basal infusion of local anesthetic reduces the incidence of breakthrough pain, although the pain severity may vary [13].
Our findings revealed that achieving adequate analgesia with basal-only infusions was associated with a two-fold increase in the infusion rate compared to baseline. With boluses, the baseline infusion rate remained unchanged. Consequently, the overall local anesthetic exposure was found to be significantly higher for those in Group 1 (basal-only), which ultimately increased the medication burden and medical expenses.
Self-administration of supplementary boluses enables the patient to engage in perioperative pain relief. Optional boluses afford the opportunity to enhance the quality of anesthesia and to reduce the basal rate. In both study groups, EPs were used with the basal rate varying within a range of 0 to 14 mL/h at 4 mL/h initially. The bolus volume was 2 mL, with a 15-minute lockout. The specified rates, volumes and lockout time have been advised by a number of studies investigating continuous FNB [5, 6, 13].
An optimal anesthesia allows reducing (and avoiding in some cases) opioid analgesics in the postoperative period. This mitigates the risk of adverse events and improves the patient’s rehabilitation potential [6].
This study demonstrated that none of the patients required opioid analgesics, which may be interpreted as further evidence of the opioid-sparing effect of continuous regional anesthesia and its efficacy as a component of a postoperative multimodal anesthetic regimen.
Charous et al. compared the effect of continuous basal-only infusion and repeated bolus doses for continuous FNB and concluded that both methods equally reduce muscle strength and found neither of them to be superior [9]. Nevertheless, subsequent studies demonstrated that the boluses are a more optimal choice compared to basal-only infusions for perioperative anesthesia and functional recovery [5].
The study found that bolus self-administration did not affect the functional status of the quadriceps femoris muscle. In contrast, basal-only infusion was associated with decreased motion in the knee joint due to the blockage of nerves innervating the quadriceps femoris muscle, which increased the risk of falling and decreased the rehabilitation potential. In the previous study, a correlation was observed between femoral nerve blocks and the increased risk of falling. Nevertheless, this does not justify the decision to avoid perioperative regional analgesia, since it is necessary to adopt an individualized approach to reducing the risk of falling [12].
Study limitations
The study sample was largely represented by middle-aged individuals and those with ASA I and II physical status. This was considered a study limitation. It should be noted that revision knee arthroplasty patients were not included in this study, and further research investigating older age, higher ASA classes, or revision surgery populations may be scientifically promising. Another limitation is that sample size was not pre-estimated.
CONCLUSION
FNB provides an adequate perioperative anesthesia in KA patients. Continuous blocks are superior to a single-shot block and provide postoperative pain relief for up to 48 hours. The EP-based technique with the option to self-administer a supplemental bolus has advantages over basal-only infusions and improves the postoperative rehabilitation potential and functional recovery in KA patients. The study results may prove useful in the implementation of enhanced recovery programs in trauma and orthopedic units.
ADDITIONAL INFORMATION
Funding source. The article was published with the support of Woo Young Medical Co., Ltd.
Competing interests. S.V. Krylov — lectured and conducted master-class at the company Woo Young Medical Co., Ltd. on the territory of the Russian Federation; I.N. Pasechnik — lectured at the company Woo Young Medical Co., Ltd. on the territory of the Russian Federation.
Author’s contribution. S.V. Krylov, I.N. Pasechnik — concept and design of the study; S.V. Krylov — collection of material, statistical analysis, text writing; I.N. Pasechnik — text editing.
About the authors
Sergey V. Krylov
Priorov National Medical Research Center of Traumatology and Orthopedics; Central State Medical Academy
Author for correspondence.
Email: doc087@inbox.ru
ORCID iD: 0000-0001-7755-7163
SPIN-code: 4067-1787
MD, Cand. Sci. (Medicine)
Russian Federation, Moscow; MoscowIgor N. Pasechnik
Central State Medical Academy
Email: pasigor@yandex.ru
ORCID iD: 0000-0002-8121-4160
SPIN-code: 4433-1418
MD, Dr. Sci. (Medicine), professor
Russian Federation, MoscowReferences
- Brander V, Stulberg SD. Rehabilitation after hip- and knee-joint replacement. An experience- and evidence-based approach to care. Am J Phys Med Rehabil. 2006;85(11 Suppl):S98–S118; quiz S119–S123. doi: 10.1097/01.phm.0000245569.70723.9d
- Zhu S, Qian W, Jiang C, et al. Enhanced recovery after surgery for hip and knee arthroplasty: a systematic review and meta-analysis. Postgrad Med J. 2017;93(1106):736–742. doi: 10.1136/postgradmedj-2017-134991
- Grape S, Kirkham KR, Baeriswyl M, Albrecht E. The analgesic efficacy of sciatic nerve block in addition to femoral nerve block in patients undergoing total knee arthroplasty: a systematic review and meta-analysis. Anaesthesia. 2016;71(10):1198–1209. doi: 10.1111/anae.13568
- Kandarian BS, Elkassabany NM, Tamboli M, Mariano ER. Updates on multimodal analgesia and regional anesthesia for total knee arthroplasty patients. Best Pract Res Clin Anaesthesiol. 2019;33(1):111–123. doi: 10.1016/j.bpa.2019.02.004
- Ilfeld BM, Gabriel RA. Basal infusion versus intermittent boluses for perineural catheters: should we take the ‘continuous’ out of ‘continuous peripheral nerve blocks’? Reg Anesth Pain Med. 2019;44(3):285–286. doi: 10.1136/rapm-2018-100262
- Machi AT, Ilfeld BM. Continuous peripheral nerve blocks in the ambulatory setting: an update of the published evidence. Curr Opin Anaesthesiol. 2015;28(6):648–655. doi: 10.1097/ACO.0000000000000254
- Krylov SV, Pasechnik IN. Comparative evaluation of the use of femoral nerve block and adductor canal as a component of early patient activation after knee arthroplasty. Regional Anesthesia and Acute Pain Management. 2021;15(4):257–265. (In Russ). doi: 10.17816/RA107978
- Bendtsen TF, Moriggl B, Chan V, Børglum J. The Optimal Analgesic Block for Total Knee Arthroplasty. Reg Anesth Pain Med. 2016;41(6):711–719. doi: 10.1097/AAP.0000000000000485
- Charous MT, Madison SJ, Suresh PJ, et al. Continuous femoral nerve blocks: varying local anesthetic delivery method (bolus versus basal) to minimize quadriceps motor block while maintaining sensory block. Anesthesiology. 2011;115(4):774–781. doi: 10.1097/ALN.0b013e3182124dc6
- Galitzine S. Postoperative pain management for total knee and hip replacement. The 34th Annual European Society of Regional Anaesthesia & Pain Therapy (ESRA) Congress. 2015. P. 2–5.
- Runge C, Børglum J, Jensen JM, et al. The Analgesic Effect of Obturator Nerve Block Added to a Femoral Triangle Block After Total Knee Arthroplasty: A Randomized Controlled Trial. Reg Anesth Pain Med. 2016;41(4):445–451. doi: 10.1097/AAP.0000000000000406
- Kopp SL, Børglum J, Buvanendran A, et al. Anesthesia and Analgesia Practice Pathway Options for Total Knee Arthroplasty: An Evidence-Based Review by the American and European Societies of Regional Anesthesia and Pain Medicine. Reg Anesth Pain Med. 2017;42(6):683–697. doi: 10.1097/AAP.0000000000000673
- Aguirre J, Del Moral A, Cobo I, et al. The role of continuous peripheral nerve blocks. Anesthesiol Res Pract. 2012;(2012):560879. doi: 10.1155/2012/560879
Supplementary files








