Comparative evaluation of regional blockades during arthroscopic shoulder surgery
- Authors: Trukhin K.S.1, Zabolotskii D.V.2, Koriachkin V.A.2, Kuleshov O.V.1, Cherednichenko A.A.1, Kulikov A.Y.1, Zakharov K.I.1
-
Affiliations:
- Clinic of High Medical Technologies named N. I. Pirogov, St. Petersburg State University
- Saint-Petersburg State Pediatric Medical University of the Ministry of Healthcare of the Russian Federation
- Issue: Vol 12, No 4 (2018)
- Pages: 242-249
- Section: Original study articles
- Submitted: 19.02.2021
- Accepted: 19.02.2021
- Published: 19.12.2018
- URL: https://rjraap.com/1993-6508/article/view/61296
- DOI: https://doi.org/10.17816/RA61296
- ID: 61296
Cite item
Full Text
Abstract
Objective: To evaluate the effectiveness of interscalene brachial plexus block versus combined suprascapular and axillary nerves block for shoulder arthroscopy. Methods: In this prospective study 174 patients were operated on the shoulder joint by the arthroscopic method under combined anesthesia. In the 1st group (n=96), for the purpose of analgesia, patients got interscalene brachial plexus block; in the 2nd group (n=78), patients received suprascapular and axillary nerves block. Ultrasound visualization and neurostimulation were used in both groups. Recorded the time from the start of blockade to the start of the operation, as well as the duration of the sensory and motor blockade. The intensity of postoperative pain was assessed with a 10-point Numeric rating scale, the need for additional analgesia, the quality of night sleep, and patient comfort. Neurological complications were also recorded.
Results: There were no differences in the time from the admit patients to the operating room and before the start surgery. The analgesic effect in the early postoperative period in the 1st group was higher, but by the end of the first day there was no statistical difference between the groups in the intensity of the pain syndrome. Intake of non-narcotic and narcotic analgesics was higher in the 2nd group. Complications were noted only for the 1st group: diaphragm paresis in 6 (6.25%) patients, in 2 (2.08%) – recurrent laryngeal nerve blockade. Satisfaction with postoperative analgesia was 100% in patients of the 2nd group. The choice of regional anesthesia for arthroscopic interventions on the shoulder did not affect the length of hospitalization.
Conclusion: Selective anesthesia of the suprascapular and axillary nerves during shoulder arthroscopic surgery is an alternative of interscalene brachial plexus block; it is not associated by respiratory and neurological complications; does not violate movements in the distal upper limb, reduces psychological discomfort and anxiety of patients.
Full Text
В настоящее время артроскопические операции на плечевом суставе отвечают принципам хирургии одного дня и становятся все более распространёнными [1]. В клинической практике с целью пери-операционной анальгезии, как правило, используют блокаду плечевого сплетения межлестничным доступом [2].
Обеспечивая адекватное обезболивание, указанный метод сопряжён с определёнными рисками развития неврологических осложнений. К ним относятся непреднамеренные блокады диафрагмального и возвратного гортанного нерва, развитие нейропраксии [3]. Изолированные дистальные блокады надлопаточного и подмышечного нервов относятся к альтернативным и перспективным вариантам регионарной анестезии при операциях на плечевом суставе и требуют дальнейшего изучения.
Целью исследования явилась сравнительная оценка эффективности блокады плечевого сплетения межлестничным доступом и комбинации блокад надлопаточного и подмышечного нервов для обезболивания при артроскопических операциях на плечевом суставе.
Материал и методы
После одобрения локального Этического комитета ФГБОУ ВО СПбГПМУ Минздрава России в период с января 2015 г. по декабрь 2017 г. проспективно обследовано 174 пациента, оперированных на плечевом суставе с использованием артроскопической техники в условиях сочетанной анестезии с искусственной вентиляцией легких. Больные распределены на 2 сопоставимые группы в зависимости от варианта проводниковой анестезии. В 1-й группе (n=96) проводили блокаду плечевого сплетения межлестничным доступом, во 2-й группе (n=78) – комбинацию блокад надлопаточного и подмышечного нервов. Сравнительная характеристика групп представлена в табл. 1.
Таблица 1. Общая характеристика пациентов
Table 1. General characteristics of patients
Характеристики | 1-я группа (n=96) | 2-я группа (n=78) | P= |
Возраст, лет (M±s) | 44,8 ± 15,9 | 45,7 ± 17,4 | 0,7 |
Мужчины, n (%) | 62 (64,6) | 55 (70,5) | 0,25 |
Женщины, n (%) | 34 (35,4) | 23 (29,5) | 0,25 |
Рост, м (M±s) | 1,73 ± 0,1 | 1,72 ± 0,09 | 0,15 |
Масса тела, кг (M±s) | 79,9 ± 13,5 | 78,1 ± 15,9 | 0,4 |
Индекс массы тела, (M±s) | 26,3 ± 3,9 | 26,3 ± 4,6 | 0,9 |
ASA I/ II III кл., n (%) | 36 (37,5) / 50 (52,1) / 10 (10,4) | 33 (42,3) / 36 (46,2) / 9 (11,5) | 0,74 |
Критерии включения:
- наличие добровольного информированного согласия,
- ASA – I–III,
- артроскопические операции на плечевом суставе.
Критерии исключения:
- противопоказания к проводниковым методам анестезии,
- повторная операция на суставе,
- транспозиция клювовидного отростка,
- патология брахиоцефальных сосудов, мозгового кровообращения, проводящей системы сердца,
- неспособность оценить боль по цифровой рейтинговой шкале (ЦРШ),
- нарушение протокола исследования.
Проводниковую анестезию выполняли с использованием ультразвуковой (УЗ) навигации и нейростимуляции до индукции в наркоз.
Блокаду плечевого сплетения межлестничным доступом проводили в положении больного лёжа на спине. Репозиционирование кончика иглы и контроль за распространением местного анестетика под УЗ позволили концентрично окружать стволы плечевого сплетения на уровне корешков С6–С7. Перед каждым новым болюсом выполняли аспирационную пробу. В качестве местного анестетика использовали 10 мл 0,75% раствора ропивакаина. Эффективность межлестничной блокады плечевого сплетения оценивали по сгибательным и разгибательным движениям плеча и предплечья, возможности отведения плеча пациентом. Блокаду надлопаточного нерва осуществляли в надостной ямке вблизи вырезки лопатки, блокаду подмышечного нерва – на выходе из четырёхстороннего отверстия (пат. № 2645639 Рос. Федерация) [4] (рис. 1, 2).
Рис. 1. Область сканирования для поиска и блокады надлопаточного нерва
Рис. 2. Область сканирования для поиска и блокады подмышечного нерва
Пациент в положении лёжа на здоровом боку, оперируемая конечность сверху, плечо приведено, лежит свободно вдоль тела. УЗ-сканирование проводили в области надостной ямки лопатки, смещая датчик до визуализации вырезки лопатки, после чего датчик возвращали в исходное положение. Иглу вводили медиальнее датчика, подводя её кончик к надлопаточному нерву, ориентируясь на пульсацию надлопаточной артерии (анэхогенная, пульсирующая, несжимаемая, округлая структура) (рис. 3, 4). Для блокады надлопаточного нерва инъецировали 5 мл 0,75% раствора ропивакаина.
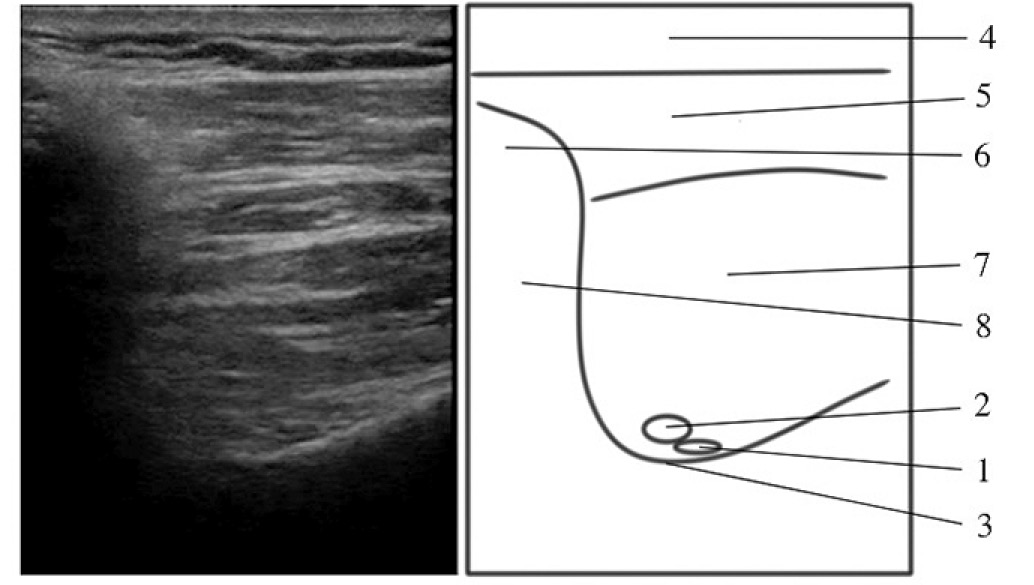
Рис. 3. Место блокады надлопаточного нерва в надостной ямке (плоскость сканирования дорсальнее плоскости, проходящей над вырезкой лопатки). 1 – надлопаточный нерв (место блокады), 2 – надлопаточная артерия, 3 – надостная ямка, 4 – подкожная клетчатка, 5 – трапециевидная мышца, 6 – ключица, 7 – надостная мышца, 8 – анэхогенная тень за ключицей
Рис. 4. Оценка ретроградного распространения раствора местного анестетика – плоскость сканирования над вырезкой лопатки: 1 – надлопаточный нерв, 2 – надлопаточная артерия, 3 – вырезка лопатки, 4 – подкожная клетчатка, 5 – гипоэхогенная тень – местный анестетик периневрально, 6 – трапециевидная мышца, 7 – надостная мышца
Затем, не меняя положения пациента, датчик переводили в горизонтальную плоскость в область хирургической шейки плечевой кости, добиваясь продольной визуализации задней огибающей плечо артерии и сопровождающего её подмышечного нерва (рис. 5). Идентифицировали место выхода подмышечного нерва из четырёхстороннего отверстия (рис. 6), который здесь отдает суставные ветви. Иглу вводили латеральнее датчика по длинной оси в вентро-медиальном направлении и инъецировали 5 мл 0,75% раствора ропивакаина до появления гипоэхогенной тени вокруг нерва и прекращения нейростимуляционных сокращений дельтовидной мышцы. Эффективность блокады надлопаточного и подмышечного нервов оценивали по невозможности отведения и поднятия блокируемой конечности при сохранении движений в локтевом суставе и кисти.
Рис. 5. Поперечное сканирование при включенном PW (импульсно-волновом) допплере. Идентифицирована задняя огибающая плечо артерия в месте её отхождения от подмышечной артерии
Рис. 6. Поперечное сканирование (относительно плечевой кости) на уровне четырёхстороннего отверстия: 1 – подмышечный нерв (место блокады), 2 – подмышечная артерия, 3 – задняя огибающая плечо артерия, 4 – плечевая кость, 5 – дельтовидная мышца
Индукцию в наркоз проводили пропофолом (2–3 мг/кг) и фентанилом (1–2 мкг/кг), тотальную миорелаксацию – рокуронием (0,6 мг/кг). После интубации трахеи поддержание анестезии – ингаляцией севофлюрана (0,8–1,5 МАК) в потоке воздушно-кислородной смеси (FiO2 – 0,4).
Фиксировали время с момента начала подготовки до начала операции и время, необходимое для выполнения блокады, а также длительность сенсорной и моторной блокады.
По окончании операции всем пациентам вводили в/в капельно 0,5 г ацетаминофена и болюсно 100 мг кетопрофена. В течение первых сут назначали в/в капельно 0,5 г ацетаминофена 2 раза в день и однократно в/м 100 мг кетопрофена.
Интенсивность боли оценивали по 10-балльной цифровой рейтинговой шкале (ЦРШ) через 1, 6, 12, 24 ч после операции, а также перед любым дополнительным введением анальгетиков. Рассчитывали среднее значение ЦРШ за сутки.
При возникновении боли интенсивностью 5 баллов по ЦРШ и выше использовали дополнительно кетопрофен до 300 мг и ацетаминофен до 4 г в сут, при неэффективности – в/м вводили 20 мг тримеперидина.
Оценивали качество ночного сна в первые послеоперационные сутки: (1) – сон не был нарушен, (2) – пациент просыпался от боли.
Оценивали неврологические осложнения, связанные с регионарной анестезией: блокаду диафрагмального нерва с полным парезом диафрагмы при уменьшении её экскурсий на 75% и более и частичный парез – при снижении экскурсии – до 75%, возникновение блокады возвратного гортанного нерва оценивали по изменению тембра голоса («осиплость»).
Фиксировали отношение пациентов к отсутствию движений в дистальных отделах конечности: удовлетворены (1), неудовлетворенны (2), безразличны (0).
Статистическую обработку проводили с помощью программного пакета Statistica 10 (StatSoft). Проверку на нормальность распределения сравниваемых показателей в 2 группах осуществляли c помощью критериев Колмогорова-Смирнова и Шапиро-Уилка. Проверку равенства дисперсий проводили с помощью критерия Левена. Для сравнения некатегориальных переменных, если распределение было нормальным, использовали t-критерий Стьюдента для несвязанных совокупностей, а если распределение отличалось от нормального – использовали U-тест Манна-Уитни. С помощью хи-квадрата Пирсона проводили сравнение категориальных переменных. Для сравнения двоичных переменных (по полу, стороне операции) использовали точный критерий Фишера. Для сравнения повторных измерений использовали однофакторный дисперсионный анализ (изменения уровня боли между двумя группами). Статистически значимым считали значение р < 0,05.
Результаты и обсуждение
При оценке времени выполнения блокады отмечена статистически значимая разница (рис. 7): 15,5 ± 4,6 мин в 1-й группе и 17,3 ± 4,7 мин во 2-й группе; p = 0,01 (t-критерий Стьюдента для несвязанных совокупностей), что объясняется необходимостью выполнения 2 отдельных инъекций для блокад надлопаточного и подмышечного нервов, требующих антисептической обработки и предварительного ультразвукового исследования.
Рис. 7. Время выполнения блокады
* p=0,01 (t-критерий Стьюдента для несвязанных совокупностей)
При этом статистически значимая разница между группами по времени от поступления пациента в операционную и до начала операции отсутствовала 35,2 ± 5,9 мин в 1-й группе и 36,1 ± 5,8 мин во 2-й группе; (р=0,3), что указывало на отсутствие зависимости предоперационных временных затрат от варианта блокады (r = 0,1). Таким образом, пропускная способность операционной не снижалась. Длительность операции составляла в 1-й группе 54,1 ± 14,8 мин, во 2-й группе 58,4 ± 32,0 мин и статистически значимых различий не имела (р = 0,67).
В интраоперационном периоде не отмечено статистически значимых различий в количестве использованного фентанила и севофлюрана (табл. 2.), а также не выявлено разницы по времени от окончания операции до экстубации трахеи (p = 0,53), что косвенно отражает отсутствие различия в медикаментозной нагрузке.
Таблица 2. Медикаментозная нагрузка в интра- и послеоперационном периоде
Table 2. The medicament loading is in intra – and postoperative period
Показатели | 1-я группа (n=96) | 2-я группа (n=78) | р |
Севофлюран, МАК (M±s) | 1,03 ± 0,21 | 1,04 ± 0,18 | 0,9 |
Фентанил, мг (M±s) | 0,185 ± 0,06 | 0,194 ± 0,05 | 0,33 |
Время моторной блокады, ч | 16,05 ± 4,74 | 16,82 ± 4,59 | 0,42 |
Время сенсорной блокады, ч | 17,29 ± 4,85 | 18,25 ± 4,37 | 0,78 |
Среднее значение ЦРШ в 1-е сут | 1,62 ± 0,54 | 2,91 ± 0,64 | 0,00 |
Кетопрофен, мг (M±s) | 200 | 246,15 ± 50,2 | 0,000 |
Тримеперидин, n (%) | 0 (0) | 2 (2,56) | 0,19 |
Потребность в дополнительных анальгетиках в 1-е сут, n (%) | 4 (4,17) | 36 (46,15) | 0,000 |
В послеоперационном периоде длительность сенсорного блока составляла в 1-й группе 17,29 ± 4,85 мин, во 2-й – 18,25 ± 4,37 мин и статистически достоверной разницы не имела (р=0,78). Больший интерквартильный размах в 1-й группе (11 против 8) позволяет предположить менее предсказуемую длительность сенсорного блока при блокаде плечевого сплетения межлестничным доступом (рис. 8).
Рис. 8. Длительность сенсорного блока после операции
Интенсивность болевого синдрома в покое в среднем за сут в 1-й группе статистически значимо меньше (р=0,00). Это обусловлено лучшим качеством обезболивания в ближайшем послеоперационном периоде. Так, через 1 ч после операции в 1-й/2-й группах: 0/1,77 ± 1,02 балла ЦРШ (р=0,0000), через 6 ч 0/2,77 ± 1,55 балла (р=0,0000), через 12 ч 2,74 ± 1,69/3,21 ± 0,99 балла (р=0,032), однако к концу 1-х сут существенной разницы между группами не наблюдалось: 3,74 ± 1,71/3,88 ± 1,14 балла (р=0,52) (рис. 9).
Рис. 9. Интенсивность послеоперационного болевого синдрома в покое. * p<0,05
К концу первых сут в 1-й группе интенсивность боли > 4 баллов по ЦРШ отмечалась у 16 (16,67%) пациентов и во 2-й группе – у 13 (16,67%), что не имело статистически значимой разницы (р=0,58, односторонний критерий Фишера). Сходные результаты получены в исследованиях Dhir et al. (2016) и Auyong D. et al. (2018) [5, 6]. Блокада плечевого сплетения межлестничным доступом, по данным авторов, сопровождалась более выраженным обез-боливающим эффектом, чем сочетанная блокада надлопаточного (p = 0,012) [5] или надлопаточного и подмышечного нервов (p<0,001) [6] в течение 1-х сут, а спустя 24 ч достоверной разницы отмечено не было.
Удовлетворённость послеоперационным обез-боливанием при отсутствии моторного блока в дистальных отделах конечности отметили все пациенты 2-й группы (100%). В 1-й группе довольны были 54 (56,3%) человека, не удовлетворены – 28 (29,2%) и отнеслись безразлично 14 (14,9%) больных.
По нашему мнению, полученные результаты связаны с тем, что у пациентов 1-й группы отмечали избыточную анестезию (блокированы были как короткие, так и длинные ветви плечевого сплетения), что приводило в ряде случаев к психологическому дискомфорту и тревоге. Тревога, связанная с «невозможностью двигать рукой», расценена как основная причина неудовлетворенности пациентов.
В послеоперационном периоде в 1-й группе были зарегистрированы 8 (8,33%) неврологических осложнений:
- у 4 (4,17%) пациентов односторонний частичный парез диафрагмы;
- у 2 (2,08%) пациентов односторонний полный парез диафрагмы;
- у 2 (2,08%) пациентов блокада возвратного гортанного нерва.
Во 2-й группе неврологические осложнения отсутствовали.
Частота блокады диафрагмального нерва при межлестничном доступе к плечевому сплетению составляет от 13 до 47% [7–9] и зависит от использованного объёма местного анестетика и уровня выполнения блокады (С5, С6 или С7). Применение УЗ-навигации приводит к снижению объёма инъецируемого анестетика, что уменьшает риск блокады диафрагмального нерва [8]. В нашем исследовании объём местного анестетика составил 10,0 мл. При выполнении многоинъекционной, селективной техники на уровне корешков С6-С7, блокада диафрагмального нерва отмечена только в 6,25%, что значительно ниже по сравнению с данными литературы.
Таким образом, при выполнении блокады плечевого сплетения межлестничным доступом использование малого объема раствора анестетика, сочетание УЗ-навигации и нейростимуляции, техники последовательного многократного репозиционирования иглы с введением малых болюсов уменьшает неконтролируемое распространение анестетика и случаи пареза диафрагмы.
В нашем исследовании блокады надлопаточного и подмышечного нерва не сопровождались блокадой диафрагмального нерва, что соответствует результатам работ других исследователей [5, 10].
В раннем послеоперационном периоде более высокая потребность в кетопрофене отмечалась во 2-й группе (р<0,01, U-тест Манна-Уитни). Однократное применение тримеперидина потребовалось в первые 12 ч только у 2 (2,56%) пациентов 2-й группы. По данным литературы, при использовании блокады надлопаточного и подмышечного нервов потребность в анальгетиках выше, чем при межлестничной блокаде [6]. Тем не менее результаты недавно опубликованного метаанализа (16 исследований – 1,152 пациента) показали, что в послеоперационном периоде при межлестничной блокаде и блокаде надлопаточного (даже без блокады подмышечного) нерва в отношении использования опиоидов и ненаркотических анальгетиков различия отсутствуют [12].
Причиной недостаточного обезболивания при анестезии надлопаточного и подмышечного нервов, по нашему мнению, является вариативное участие во внутрисуставной иннервации плечевого сустава латерального грудного нерва. Латеральный грудной нерв в 67% отдает суставную ветвь к плечевому суставу, проходит между ключицей, клювовидным отростком, клювовидно-акромиальной и ключично-клювовидной связками. Для блокады латерального грудного нерва необходима отдельная инъекция, тогда как при анестезии плечевого сплетения межлестничным доступом этот нерв гарантированно блокируется [11].
Выбор регионарной анестезии при артроскопических вмешательствах на плече не оказывал влияния на сроки госпитализации, большинство пациентов находились в стационаре одни сутки. Анализ случаев более длительных сроков госпитализации (до 3 сут) показал наличие причин организационного характера без наличия клинических осложнений.
Таким образом, комбинированная блокада надлопаточного и подмышечного нервов при артроскопических операциях на плечевом суставе является альтернативой блокаде плечевого сплетения межлестничным доступом, не сопровождается дыхательными и неврологическими осложнениями, не нарушает движений в дистальных отделах верхней конечности, снижает психологический дискомфорт и тревогу пациентов.
About the authors
K. S. Trukhin
Clinic of High Medical Technologies named N. I. Pirogov, St. Petersburg State University
Email: zdv4330303@gmail.com
Russian Federation, St. Petersburg
Dmitry V. Zabolotskii
Saint-Petersburg State Pediatric Medical University of the Ministry of Healthcare of the Russian Federation
Author for correspondence.
Email: zdv4330303@gmail.com
MD, PhD, DSc, assistent-professor, Department of Anesthesiology, Reanimatology and Emergency Pediatric
Russian Federation, St. PetersburgV. A. Koriachkin
Saint-Petersburg State Pediatric Medical University of the Ministry of Healthcare of the Russian Federation
Email: zdv4330303@gmail.com
Russian Federation, St. Petersburg
O. V. Kuleshov
Clinic of High Medical Technologies named N. I. Pirogov, St. Petersburg State University
Email: zdv4330303@gmail.com
Russian Federation, St. Petersburg
A. A. Cherednichenko
Clinic of High Medical Technologies named N. I. Pirogov, St. Petersburg State University
Email: zdv4330303@gmail.com
Russian Federation, St. Petersburg
A. Yu. Kulikov
Clinic of High Medical Technologies named N. I. Pirogov, St. Petersburg State University
Email: zdv4330303@gmail.com
Russian Federation, St. Petersburg
K. I. Zakharov
Clinic of High Medical Technologies named N. I. Pirogov, St. Petersburg State University
Email: zdv4330303@gmail.com
Russian Federation, St. Petersburg
References
- Memtsoudis S.G., Kuo C., Ma Y., Edwards A., Mazumdar M., Liguori G. Changes in anesthesia-related factors in ambulatory knee and shoulder surgery: United States 1996-2006. Regional Anesthesia and Pain Medicine. 2011; 36 (4): 327–31.
- Zabolotskiy D.V., Koryachkin V.A. Rebenok i regionarnaya anesteziya – zachem? kuda? i kak? Regionarnaya anesteziya i lecheniye ostroy boli. 2016; 10(4): 243–53. (In Russian)
- Kessler J., Marhofer P., Hopkins P.M., Hollmann, M.W. Peripheral regional anaesthesia and outcome: Lessons learned from the last 10 years. Br. J. Anaesth. 2015; 114 (5): 728–45.
- Patent № 2645639 Rossiyskoy Federatsii, MPK A61M 19/00 (2006.01), A61B 8/00 (2006.01). [Tekst] / Trukhin K., S., Koryachkin V.A., Kuleshov O.V., Zabolotskiy D.V, Cherednichenko A.A., Zakharov K.I. , Dubovik V.V .; zayavitel’ i patentoobladatel’ Federal’noye gosudarstvennoye byudzhetnoye uchrezhdeniye «Sankt-Peterburgskiy mnogoprofil’nyy tsentr» Ministerstva zdravookhraneniya Rossiyskoy Federatsii (RU) – № 2016115499, zayavl. 21.04.2016; opubl. 21.02.2018-27.02.2018 Byul. No 6.
- Auyong D., Hanson N., Joseph R., Schmidt B., Slee, A., Yuan S. Comparison of anterior suprascapular, supraclavicular, and interscalene nerve block approaches for major outpatient arthroscopic shoulder surgery. Anesthesiology. 2018; 129 (1): 47–57.
- Dhir S., Sondekoppam R.V., Sharma R., Ganapathy S., Athwal G.S. A comparison of combined suprascapular and axillary nerve blocks to interscalene nerve block for analgesia in arthroscopic shoulder surgery an equivalence study. Regional Anesthesia and Pain Medicine. 2016; 41 (5): 564–71.
- Tran D.Q.H., Elgueta M. F., Aliste J., Finlayson R.J. Diaphragm-sparing nerve blocks for shoulder surgery. Regional Anesthesia and Pain Medicine. 2017; 42 (1): 32–8.
- Renes S.H., Spoormans H.H., Gielen M.J., Rettig H.C., Van Geffen G.J. Hemidiaphragmatic paresis can be avoided in ultrasound-guided supraclavicular brachial plexus block. Regional Anesthesia and Pain Medicine. 2009; 34 (6): 595–9.
- Riazi S., Carmichael N., Awad I., Holtby R.M., McCartney C.J.L. Effect of local anaesthetic volume (20 vs 5 ml) on the efficacy and respiratory consequences of ultrasound-guided interscalene brachial plexus block. British. Journal of Anaesthesia. 2008, 101 (4); 549–56.
- Dhir S., Sondekoppam R.V., Sharma R., Ganapathy S., Athwal G.S. (). A comparison of combined suprascapular and axillary nerve blocks to interscalene nerve block for analgesia in arthroscopic shoulder surgery an equivalence study. Regional Anesthesia and Pain Medicine. 2016; 41 (5): 564–571.
- Nam Y.S., Panchal K., Kim I.B., Ji J.H., Park M.G., Park S.R. Anatomical study of the articular branch of the lateral pectoral nerve to the shoulder joint. Knee Surgery, Sports Traumatology, Arthroscopy. 2016; 24 (12): 3820–7.
- Hussain, N., Goldar, G., Ragina, N., Banfield, L., Laffey, J. G., Abdallah, F. W. Suprascapular and Interscalene Nerve Block for Shoulder Surgery: A Systematic Review and Meta-analysis. Anesthesiology. 2017; 127 (6): 998–1013
Supplementary files











