Combination of peripheral blocks as a part of enhanced rehabilitation in total knee replacement: a prospective comparative open randomized study
- Authors: Manevskiy A.A.1,2, Sviridov S.V.1,2, Builova T.V.3, Torpudzhiyan M.A.1,2, Borzova N.U.1, Tarbushkin A.A.1, Serebryakov A.B.1, Askerov S.M.2, Dzeytova B.M.2
-
Affiliations:
- National Medical Research Center «Medical and Rehabilitation Center»
- Pirogov Russian National Research Medical University
- Lobachevsky National Research State University of Nizhny Novgorod
- Issue: Vol 16, No 3 (2022)
- Pages: 205-217
- Section: Original study articles
- Submitted: 03.10.2022
- Accepted: 25.10.2022
- Published: 20.12.2022
- URL: https://rjraap.com/1993-6508/article/view/111184
- DOI: https://doi.org/10.17816/RA111184
- ID: 111184
Cite item
Abstract
BACKGROUND: The patient’s recovery after total knee replacement (TKR) is long and is associated several potentially serious complications. The optimal solution to this problem is the introduction of regional blocks of the lower limb into anesthesiologic practice, which can contribute to enhanced rehabilitation and fewer complications.
AIM: To perform a prospective comparative analysis of the anesthesia outcomes of patients who received a combination of prolonged femoral nerve blockade (CFNB) with catheter insertion and infiltration between the popliteal artery and capsule of the knee (IPACK), with the results in patients receiving prolonged epidural analgesia (PEA) as postoperative analgesia for TKR.
MATERIALS AND METHODS: Eighty patients were included and distributed according to the required planned surgical intervention (TKR). The duration of the inclusion period was 3 months (from March to May 2022). Patients were observed up to 48 h after surgery, with control points every 8 h. The patients were divided into two groups: group 1 (PEA, n=40) underwent subarachnoid anesthesia in combination with PEA, and group 2 (n=40) underwent subarachnoid anesthesia as a combination of CFNB and IPACK. To compare the groups, the following main indicators were used: severity of pain syndrome (visual analog scale [VAS], from 0 to 10 cm), muscle strength on the Medical Research Council (MRC) scale, duration of patients’ stay in the intensive care unit, duration of hospitalization, and presence of postoperative complications.
RESULTS: The highest average score for VAS was recorded at 32 h in group 1, and it was 3.6 cm. The lowest average score for VAS (1.1–1.2 cm) was noted in the first 8 h and after 48 h in group 1. In group 2, this value was 0.9–1.5 cm in the first 16 h, and at 48 h, the pain syndrome was more pronounced in group 2, making up 2 cm on VAS. Compared with the PEA group, the CFNB group had statistically higher values of the indicators of the motor strength of the leg muscles on the MRC scale at all stages of the study. The PEA group stayed in the intensive care unit statistically significantly longer than the PBN group: 210 (189–260) and 180 (154–185) min, respectively (p <0.001).
CONCLUSION: The results of this study showed that the use of multimodal analgesia as a combination of CFNB and IPACK is a reliable anesthetic support for TKR, with an efficiency not inferior to classical epidural analgesia. The use of this combination of peripheral blockades contributes to the early activation and rehabilitation of patients after TKR.
Full Text
ВВЕДЕНИЕ
Тотальное эндопротезирование крупных суставов нижних конечностей является одним из наиболее распространённых видов оперативных вмешательств при лечении артроза [1, 2]. Деформирующий артроз коленного сустава занимает весомую долю в структуре заболеваний опорно-двигательного аппарата у взрослого населения, в том числе у лиц трудоспособного возраста, что приводит к неуклонному росту числа операций тотального эндопротезирования коленного сустава (ТЭКС) в Российской Федерации, странах Европы, США и др. Основные проблемы лечения этой группы пациентов связаны с такими аспектами, как реабилитация, продолжительность койко-дня в стационаре, уменьшение числа послеоперационных осложнений и выраженности болевого синдрома. Поиск решения перечисленных проблем привёл к созданию концепции ускоренного восстановления и ранней реабилитации, или фаст трэк (fast track, ФТ) хирургии [3].
В настоящее время восстановление и выздоровление пациента зависит не только от успешно выполненной хирургом операции, но и во многом от действий анестезиолога, выбора тактики послеоперационного ведения и обезболивания, что формирует принцип ранней реабилитации с весомым участием анестезиолога.
Концепция ускоренной реабилитации представляет собой ряд базисных положений и новых подходов в хирургии и анестезиологии, важнейшим из которых является принцип мультимодального обезболивания, особенно при выполнении высокотравматичных хирургических вмешательств, к которым в том числе относится ТЭКС. Хорошо известно, что мультимодальный подход включает в себя использование опиоидов, нейроаксиальных блокад, нестероидных противовоспалительных средств (НПВС), парацетамола и некоторых дополнительных препаратов (адъювантов), таких как магнезия, дексаметазон, габапентин, дексмедетомидин. Комбинация ряда препаратов позволяет снизить потребление опиоидов и уменьшить число их нежелательных лекарственных реакций, к которым относятся угнетение дыхания, тошнота, рвота, зуд, нарушение моторики кишечника [4, 5]. В то же время, рассматривая мультимодальную аналгезию как ключевой аспект ФТ-хирургии, важно учесть все преимущества и недостатки различных методик с целью как адекватного обезболивания, так и ускоренного восстановления, включая раннюю вертикализацию и активизацию пациентов после ТЭКС. Адекватный контроль боли позволяет начать раннюю реабилитацию, физиотерапию, достичь необходимого объёма движений в коленном суставе, уменьшить число осложнений и, соответственно, улучшить результаты лечения [6].
В последние годы в нашей стране широко распространено применение продлённой эпидуральной аналгезии (ПЭА) как основного метода послеоперационного обезболивания у пациентов после ТЭКС, что позволяет достичь сопоставимого с опиоидами адекватного уровня обезболивания. ПЭА в послеоперационном периоде рассматривается как «золотой стандарт» благодаря хорошему уровню аналгезии и контролю обезболивания. Однако длительная инфузия местного анестетика в эпидуральное пространство сопряжена с целым спектром нежелательных эффектов и потенциально серьёзных осложнений, таких как гипотензия, задержка мочи, непреднамеренная моторная блокада, головокружение, тошнота, ряд неврологических осложнений и, как следствие, риск падения пациента при ранней активизации в первые 24–48 ч после операции [7].
На основании собственного 10-летнего опыта послеоперационного обезболивания и ранней реабилитации пациентов после ТЭКС, а также после сопоставления собственных результатов с данными отечественных и зарубежных коллег [8–10], нами предложена методика применения регионарных блокад нижней конечности. Наиболее часто сообщается о применении продлённой блокады бедренного нерва (ПББН) как альтернативы ПЭА [11, 12]. Эта блокада позволяет избежать нежелательных явлений, свойственных ПЭА, что способствует ускоренной реабилитации пациента и меньшему числу потенциальных осложнений. Более того, с внедрением в практику УЗ-навигации выполнение ПББН стало технически проще, и вероятность успеха значительно возросла. Концепция ФТ-хирургии подразумевает по возможности отказ от дренажей и катетеров, однако в данном случае, учитывая длительный (не менее 48 ч) болевой синдром после ТЭКС, целесообразно применение продлённых регионарных методик обезболивания посредством установки катетера. Многочисленные повторные пункции с целью блокады бедренного нерва не являются комфортными для пациента и будут увеличивать риски осложнений.
Основной проблемой остаётся недостаточное обезболивание, поскольку зона иннервации бедренного нерва не захватывает заднюю поверхность колена, в связи с чем требуется дополнительное назначение опиоидных анальгетиков. Одним из возможных вариантов решения является дополнение ПББН инфильтрацией промежутка между подколенной артерией и задней частью капсулы коленного сустава, что позволит полноценно обезболить зону оперативного вмешательства, снизить или вовсе исключить применение опиоидных анальгетиков и в итоге способствовать ранней вертикализации, реабилитации и выписке пациента.
Цель исследования — провести проспективный сравнительный анализ результатов обезболивания пациентов комбинацией ПББН с установкой катетера и инфильтрацией промежутка между подколенной артерией и задней частью капсулы коленного сустава с данными пациентов, получающих в качестве послеоперационного обезболивания ПЭА при ТЭКС.
МАТЕРИАЛЫ И МЕТОДЫ
Дизайн исследования
На базе НМИЦ «Лечебно-реабилитационный центр» (Москва) выполнено проспективное сравнительное открытое исследование с последовательной рандомизацией пациентов в группы «ослеплённым» администратором, в которое включены и распределены методом конвертов 80 пациентов. Всем пациентам проведены плановые оперативные вмешательства в объёме ТЭКС (схема 1).
Схема 1. Распределение пациентов на группы исследования.
Критерии соответствия
Критерии включения:
- физический статус по классификации ASA (Американское общество анестезиологов) — 1–3 балла (оценка пациента);
- отсутствие противопоказаний к нейроаксиальным блокадам и неопиоидным анальгетикам;
- способность пациента к контакту и оценке выраженности боли по визуальной аналоговой шкале (ВАШ, 0–10 см).
Критерии исключения:
- массивная интраоперационная кровопотеря (>30% объёма циркулирующей крови).
Продолжительность исследования
Запланированная продолжительность периода включения пациентов в исследование на базе НМИЦ «Лечебно-реабилитационный центр» составила 3 мес (март, апрель, май 2022 года). Наблюдение за пациентами продолжалось в течение ближайших 48 ч после оперативного вмешательства с контрольными точками каждые 8 ч.
Описание медицинского вмешательства
Всем пациентам выполнено анестезиологическое пособие по стандартизированному протоколу:
- субарахноидальная анестезия уменьшенным объё-мом введённого анестетика —10 мг (бупивакаин гипербарический, 5 мг/мл), срединным доступом на уровне LIII–LIV;
- внутривенная седация пропофолом до достижения значений -3 балла по шкале RASS (Richmond Agitation-Sedation Scale, шкала возбуждения-седации Ричмонда);
- дополнительно применены лекарственные препараты различных фармакологических групп, включая габапентин, НПВС, глюкокортикостероиды, парацетамол, трамадол (показания и направленность их назначения представлены в табл. 1).
Таблица 1. Мультимодальное обезболивание
Table 1. Multimodal analgesia
День операции, 0-е сут | 1–2-е сут после вмешательства | ||
Накануне операции | В операционной | Палата пробуждения | Парацетамол — 1000 мг в/в 2 раза/сут Лорноксикам — 8 мг в/в каждые 8–10 ч Дексаметазон — 8 мг в/в Трамадол — 100 мг per os (по требованию) |
Габапентин — 600 мг per os (при выраженном болевом синдроме) | Лорноксикам — 8 мг в/в Дексаметазон — 8 мг в/в | Парацетамол — 1000 мг в/в Лорноксикам — 8 мг в/в Трамадол — 100 мг per os (по требованию) | |
ПЭА включала установку эпидурального катетера через иглу Tuohy 18G 110 мм (B. Braun Medical, Германия) в соответствующем уровню операции межпозвоночном промежутке LIII–LIV. Катетер 20G заводили в краниальном направлении на 3–4 см. Для верификации положения катетера вводили тест-дозу 2% раствором лидокаина. Далее устанавливали закрытую систему пролонгированной дозированной инфузии местного анестетика ропивакаина (2 мг/мл) через эластомерную помпу со скоростью 2–4–6 мл/ч в течение первых 24 ч. Регуляцию скорости инфузии осуществляли в зависимости от индивидуальных особенностей пациента, состояния гемодинамики и жалоб.
ПББН выполняли перед операцией под контролем УЗ-навигации: в положении пациента лёжа на спине при помощи высокочастотного линейного датчика визуализировали структуры пахового треугольника. Поиск бедренного нерва осуществляли по методике in-plane иглой с использованием нейростимулятора (Stimuplex-DIG, B. Braun Medical, Германия). В непосредственной близости от бедренного нерва под подвздошной фасцией вводили 20 мл раствора ропивакаина (5 мг/мл) и через интродьюсер в периневральном пространстве на 2–4 см вводили и фиксировали катетер (рис. 1).
Рис. 1. Ультразвуковая картина бедренного нерва. A — бедренная артерия, V — бедренная вена, FN — бедренный нерв.
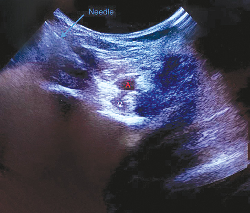
Также под контролем УЗ-навигации проводили инфильтрацию промежутка между подколенной артерией и задней частью капсулы коленного сустава (IPACK) — вводили 15 мл раствора ропивакаина (6,7 мг/мл; рис. 2). Далее непрерывное введение 0,5% ропивакаина по бедренному катетеру осуществляли со скоростью 6–8 мл/ч на протяжении 24 ч.
Рис. 2. Ультразвуковая картина при IPACK. A — подколенная артерия, V — подколенная вена.
Инфузионная терапия была стандартизирована для обеих групп пациентов: в объёме 7 мл/кг в час растворами электролитов.
Основной исход исследования
Для сравнения групп использовали следующие основные показатели:
- степень выраженности болевого синдрома, оцениваемая при помощи ВАШ от 0 до 10 см, где 0 см — боль отсутствует, 1–2 см — минимально выраженная боль, 3–4 см — слабая боль, 5–6 см — умеренная боль, 7–8 см — сильная боль, 9–10 см — мучительная боль;
- мышечная сила, оцениваемая по шкале двигательного дефицита MRC (Medical Research Council Weakness Scale).
Дополнительные исходы исследования
Гемодинамические показатели (систолическое и диастолическое артериальное давление и частота сердечных сокращений) оценивали до операции, в палате пробуждения после операции, в профильном отделении утром и вечером.
Перед выпиской анализировали продолжительность пребывания в палате пробуждения или интенсивной терапии (в минутах), госпитализации (в днях), наличие тошноты и рвоты, послеоперационных осложнений, необходимость применения опиоидных анальгетиков в послеоперационном периоде, способность пациента к ранней реабилитации.
Анализ в подгруппах
Нами выделены 2 группы пациентов:
1-я группа (ПЭА, n=40) включала больных, которым выполнили субарахноидальную анестезию в сочетании с ПЭА. Послеоперационное обезболивание проводилось ПЭА в комбинации с мультимодальным обезболиванием.
2-я группа (ПББН и IPACK, n=40) состояла из пациентов, которым провели субарахноидальную анестезию в сочетании с комбинацией ПББН с установкой катетера и IPACK в дополнение к мультимодальному обезболиванию.
Основные характеристики групп представлены в табл. 2.
Таблица 2. Основные характеристики пациентов, включённых в исследование
Table 2. Main characteristics of the study patients
Показатель | ПЭА | ПББН | р |
Возраст, лет, Me (IQR) | 63 (56–70) | 67 (61–69) | pMW*=0,29 |
ASA, Me (IQR), m | 2 (2–2), 2,02 | 2 (2–2), 2,1 | pMW=0,52 |
ASA1, % | 12,5 | 7,5 | pχ2**=0,7 |
ASA2, % | 72,5 | 75 | |
ASA3, % | 15,0 | 17,5 | |
Пропофол, % | 97,5 | 95 | pχ2=0,56 |
Кровопотеря, мл, Me (IQR), m | 100 (100–200), 154 | 100 (100–150), 133 | pMW=0,24 |
Объём инфузии, л, Me (IQR), m | 1,5 (1,5–2,0), 1,68 | 1,5 (1,5–2,0), 1,61 | pMW=0,37 |
Примечание. *MW — критерий Манна–Уитни; ** χ2 — критерий хи-квадрат; ПЭА — продлённая эпидуральная аналгезия; ПББН — продлённая блокада бедренного нерва.
Note. *MW — Mann–Whitney U-test; ** χ2 — Chi-square test; PEA — prolonged epidural analgesia; PFNB — prolonged femoral nerve blockade.
Этическая экспертиза
Исследование не содержит нарушений этических норм и полностью соответствует принципам надлежащей клинической практики (GCP), подготовлено на основе данных исследования «Комбинация периферических блокад в рамках концепции ускоренной реабилитации при тотальном эндопротезировании коленного сустава», одобренного Этическим комитетом при Национальном медицинском исследовательском центре «Лечебно-реабилитационный центр» (протокол № ЭК/040 от 19.04.2022).
Статистический анализ
Статистический анализ проведён с помощью программы Jamovi v. 1.6.16.0 (Австралия). Номинальные показатели описаны в виде абсолютных значений и доли от общего объёма выборки. Изучаемые параметры в основном имели распределение, отличное от нормального (определяли с применением критерия Шапиро–Уилка), в связи с чем использованы методы непараметрической статистики. Данные представлены в виде медианы (Me) и интерквартильного размаха (IQR), для дискретных переменных с небольшим диапазоном значений дополнительно указано среднее значение (m). Для сравнения количественных переменных использовали критерий Манна–Уитни, для сравнения качественных переменных — критерий χ2 Пирсона [13]. Различия считали статистически значимыми при p <0,05.
РЕЗУЛЬТАТЫ
Участники исследования
Выделенные подгруппы пациентов сопоставимы по основным характеристикам: возраст, анестезиологический риск по шкале ASA, седация пропофолом, объём кровопотери (мл), объём инфузии (мл) (см. табл. 2).
Основные результаты исследования
По результатам оценки выраженности болевого синдрома в послеоперационном периоде статистически значимая (p <0,001) разница среднего значения по ВАШ между группами отмечена во временных точках 16, 40 и 48 ч. Наиболее высокое среднее значение зафиксировано во временной точке 32 ч в группе ПЭА (группа 1), оно составило 3,6 см. Наименьшее среднее значение по ВАШ в 1,1–1,2 см зарегистрировано в первые 8 ч и через 48 ч в группе ПЭА (группа 1), в группе регионарных блокад (группа 2) это значение оказалось равно 0,9–1,5 см в первые 16 ч, во временной точке 48 ч болевой синдром был более выражен в группе 2, составляя 2 см по ВАШ (рис. 3).
Рис. 3. Выраженность болевого синдрома у пациентов изучаемых подгрупп в раннем послеоперационном периоде.
Примечание. Данные представлены в виде медианы и интерквартильного размаха. * р <0,001 при сравнении значений ВАШ (1) в группах в конкретной временной точке; ** р <0,001 при сравнении значений ВАШ в палате пробуждения и на 32-й ч (в обеих группах); *** р <0,001 при сравнении значений ВАШ на 32- и 48-й ч (в обеих группах); **** р <0,001 при сравнении значений ВАШ в палате пробуждения и на 48-й ч (для группы ПББН); (1) — результаты приведены после дополнительного введения трамадола (100 мг per os) при достижении показателя ВАШ 4 см; ПЭА — продлённая эпидуральная аналгезия; ПББН — продлённая блокада бедренного нерва.
Пациенты группы ПББН имели статистически значимо (p <0,001) большие показатели моторной силы мышц ног по шкале MRC на всех этапах исследования, чем больные группы ПЭА (рис. 4).
Рис. 4. Показатели мышечной силы по шкале MRC в исследуемых подгруппах.
Примечание. p <0,001 при сравнении 2 групп во всех точках измерения: при сравнении 1-го и 2-го, 2-го и 3-го, 1-го и 3-го измерения показателя; ПЭА — продлённая эпидуральная аналгезия; ПББН — продлённая блокада бедренного нерва.
Дополнительные результаты исследования
Показатели гемодинамики не имели статистически значимых отличий (p >0,05) в выделенных подгруппах ни в одной из точек измерения. Необходимо отметить, что в группе ПЭА было 2 пациента со снижением систолического артериального давления более чем на 20% от исходного к 24 и 32 ч после операции, что потребовало дополнительной инфузионной терапии и прекращения эпидуральной аналгезии (рис. 5). В группе ПББН выраженной артериальной гипотензии не зафиксировано.
Рис. 5. Показатели гемодинамики в послеоперационном периоде.
Примечание. р <0,001 при сравнении 1-го и 2-го, 2-го и 3-го, 1-го и 3-го измерений для всех показателей. Межгрупповые отличия ни одного из показателей не были статистически значимыми ни в одной из точек измерения. САД — систолическое артериальное давление, ДАД — диастолическое артериальное давление; ЧСС — частота сердечных сокращений; ПЭА — продлённая эпидуральная аналгезия; ПББН — продлённая блокада бедренного нерва.
Трамадол (100 мг per os) в послеоперационном периоде был показан пациентам, у которых значения выраженности болевого синдрома по ВАШ достигали 4 см. У всех пациентов применение трамадола после операции не превышало суточной дозировки 100–200 мг per os. Всего 5% пациентов группы ПЭА и 25% больных из группы ПББН получали трамадол в послеоперационном периоде (р=0,012). Потребности в более мощных обезболивающих, производных морфина в обеих группах не зарегистрировано.
Пациенты группы ПЭА пребывали в палате пробуждения статистически значимо (p <0,001) дольше, чем в группе ПББН: 210 (189–260) и 180 (154–185) мин соответственно. Среднее время вертикализации после операции в группе 1 составило 197,3±31,9, в группе 2 — 137,8±25,5 мин. Продолжительность госпитализации между подгруппами статистически значимо не различалась (p >0,05 и составила 5 (5–5) дней.
Нежелательные явления
Частота эпизодов тошноты и рвоты была сопоставимой в обеих группах, составляя 10% в группе ПЭА и 12,5% в группе ПББН. Серьёзных послеоперационных осложнений (эпидуральная гематома, острое нарушение мозгового кровообращения, инфаркт миокарда, смерть пациента) ни в одной из групп не отмечено.
ОБСУЖДЕНИЕ
Резюме основного результата исследования
По результатам исследования выраженность болевого синдрома в послеоперационном периоде представляется сопоставимой при сравнении ПЭА и комбинации ПББН с IPACK-блоком, что свидетельствует об эффективности и достаточной мощности обезболивания регионарными блокадами при ТЭКС. Однако следует отметить, что такой результат достижим в рамках мультимодального обезболивания и применения в некоторых случаях трамадола. Потребность в использовании трамадола в группе с ПББН ожидаемо выше, но в то же время не приводит к возникновению осложнений, учащению эпизодов тошноты и рвоты и, соответственно, видится безопасным дополнением к обезболиванию в группе с ПББН и IPACK, особенно в интервале с 24 по 48 ч после операции. Важным результатом видится значительно лучшая способность пациентов группы 2 к ранней реабилитации.
Обсуждение основного результата исследования
Основной задачей современной хирургии, включая травматологию и ортопедию, анестезиологию и реаниматологию, является создание оптимальных клинических условий для скорейшей реабилитации пациентов после плановых / экстренных операций, полное восстановление у них трудоспособности и социальной активности. Нельзя сбрасывать со счетов и такой аспект медицины, как экономическая значимость для стационаров, связанная с сокращением общих затрат на лечение, уменьшением временного периода пребывания пациентов в дорогостоящих отделениях реанимации и интенсивной терапии (ОРИТ) и в стационаре, снижение у пациентов на этапах лечения числа послеоперационных инфекционных осложнений и др. В связи с этим видится неслучайным предложение H. Kehlet и соавт. ещё в 1992 году концепции ФТ-хирургии, которую в настоящее время активно внедряют в различных областях хирургии, но которая требует не только комплексного и многофункционального подхода к реализации со стороны совершенствования и внедрения новых медицинских технологий, но и глубокого пересмотра ряда «рутинных» организационных процедур в лечении пациентов [14, 15].
Успех данной программы всецело зависит от единого командного действия со стороны хирургов, анестезиологов-реаниматологов, реабилитологов, физиотерапевтов и других специалистов. Что касается травматологических больных, перенёсших ТЭКС, то концепция ФТ также находится в детальной разработке во многих специализированных и ориентированных на травматологию / ортопедию клиниках и научно-исследовательских центрах, отделениях травматологии крупных многопрофильных хирургических стационаров. Особенно повышается её значимость при высокой хирургической / травматологической активности, когда ежедневно выполняется более двух десятков операций в объёме ТЭКС, т.е. при больших потоках травматологических больных. По этой причине ОРИТ, как правило, могут быть перегружены, а персонал отделений может должным образом не справляться с выпавшей на их долю клинической нагрузкой. Мы столкнулись с этой проблемой около 10 лет назад. Стало очевидно, что необходимо минимизировать частоту поступления пациентов в ОРИТ после ТЭКС при условии, что операция прошла без технических сложностей, со стабильной гемодинамикой, без большой кровопотери. Основная нагрузка в таких ситуациях легла на врачей палаты пробуждения, в которой начинается первый этап реабилитационной программы пациентов после ТЭКС. В клинике Национального медицинского исследовательского центра «Лечебно-реабилитационный центр» для достижения наилучших результатов восстановления пациентов после ТЭКС был изменён ряд внутренних организационных положений в лечении этого контингента травматологических больных. Была создана специальная палата пробуждения со своим штатом врачей и среднего медицинского персонала, реабилитологов, разработаны памятки-методички для пациентов, где подробно описаны их действия в ближайшие дни после операции, разъяснён ряд технических / медицинских положений по ускоренной реабилитации. Однако главным вопросом, как ни парадоксально, оказалась проблема сохранения преемственности интра- и послеоперационного обезболивания.
То, что мультимодальное обезболивание является основным и определяющим ключом в системе ранней реабилитации и профилактики хронического болевого синдрома после ТЭКС не вызывало и не вызывает сомнений. Во многих публикациях делается акцент на комбинации регионарных и нейроаксиальных блокад, в которых главным звеном служит ПЭА в комбинации с НПВС, парацетамолом и дексаметазоном [16, 17]. На протяжении десятилетия нас полностью устраивала система анестезиологического обеспечения пациентов на основе ПЭА в комбинации с НПВС, слабыми опиатами (по показаниям) и адъювантами. Такой подход клинически обеспечивал адекватное послеоперационное обезболивание пациентов на протяжении необходимого для лечения времени (как правило, 3–4 сут после операции) и сопровождался минимальными осложнениями. Однако возможности клиники стали расширяться, поток пациентов с ТЭКС увеличился почти в 2 раза, возросла нагрузка на ОРИТ и палаты пробуждения. Пациентов из палаты пробуждения стали всё чаще и чаще переводить в профильное травматологическое отделение, где продолжалось мультимодальное обезболивание на основе ПЭА, а местный анестетик вводили в эпидуральное пространство посредством эластомерных помп. Главная проблема была связана с контролем уровня обезболивания и гемодинамической стабильности в ближайшие 24 ч после операции. Выполнить круглосуточный мониторинг и коррекцию болевого синдрома силами только дежурной бригады анестезиологов было проблематично. Также отмечались «сбои» в работе эластомерных помп, нарушалась скорость подачи местного анестетика в эпидуральное пространство. В связи с этим врачи профильных отделений закономерно дополнительно назначали пациентам опиаты и НПВС.
На основании мирового опыта и опыта отечественных анестезиологов нами была разработана методология применения в клинической практике в дополнение к интраоперационной субарахноидальной анестезии пролонгированной регионарной блокады бедренного нерва в сочетании с IPACK и мультимодальной аналгезией [18]. Как было указано ранее, блокада периферических нервов продолжалась в послеоперационном периоде, т.е. преемственность интра- и послеоперационного обезболивания сохранялась. У всех пациентов, начиная с ближайшего послеоперационного периода, сохранялось ясное сознание, что позволяло в динамике оценивать показатели выраженности боли по ВАШ. Если значения по ВАШ приближались или превышали 4 см, то назначали слабый опиат трамадол per os в однократной дозе 100 мг. Эффект обезболивания усиливался без развития нежелательных реакций.
ПЭА обладает мощным обезболивающим действием, но не позволяет осуществить раннюю вертикализацию пациентов. Эти выводы коррелируют с данными других авторов, отмечающих негативное влияние ПЭА на раннюю реабилитацию [19, 20]. Напротив, мультимодальная обезболивающая фармакотерапия в сочетании с ПББН и IPACK обеспечивает такую возможность уже через 2,0–2,5 ч с момента окончания операции и проводится совместно врачом анестезиологом-реаниматологом палаты пробуждения и инструктором ЛФК. Выше мы представили данные о том, что среднее время вертикализации после операции в группе 1 составило 197,3±31,9 мин, а в группе 2 оно оказалось меньше — 137,8±25,5 мин, т.е. возможность ранней вертикализации пациентов была в среднем на 60 мин быстрее, а время пребывания в палате пробуждения — короче на 40–80 мин.
Прослеживается непосредственная связь между моторной силой мышц ног по шкале MRC, временем вертикализации пациента и возможным риском падения. Пациенты с показателями <4 баллов по этой шкале не могли быть адекватно вертикализированы, имели высокий риск падения, в связи с чем их ранняя реабилитация затруднялась, что и отмечено нами в группе с ПЭА.
Статистически значимой разницы в гемодинамических показателях между группами не зафиксировано, хотя мы предполагали, что ПЭА может вызывать гипотензию в большинстве случаев. Однако было зарегистрировано 2 случая гипотензии в группе с ПЭА, что, безусловно, заслуживает внимания и может служить триггером развития послеоперационных осложнений. Кроме того, нельзя исключить, что при большей выборке частота случаев гипотензии может увеличиться.
Несмотря на некоторые преимущества ПББН с IPACK с точки зрения безопасности и ранней реабилитации после ТЭКС, продолжительность госпитализации между группами не отличалась. Следует отметить, что на этот параметр влияет множество факторов, в том числе организационных. Отсутствие патронажной службы для амбулаторного наблюдения за пациентами, достаточно длительная транспортировка до места жительства приводят к стандартной выписке на 5–6-е сут, в то время как с клинической точки зрения готовность пациента к выписке отмечается уже на 2–3-и сут с условием возможности продолжить реабилитационные мероприятия посредством применения технологий телемедицины.
За исключением повышения потребности в слабом опиате трамадоле (в среднем на 1–2-е сут после операции потребность в нём составляла 100–200 мг/сут) других различий в исследуемых параметрах между группами выявлено не было, что указывает на перспективность клинического применения выбранного подхода периоперационного обезболивания пациентов после ТЭКС. Безусловно, это не окончательный вердикт по данной методике. Требуется проведение дальнейших исследований, необходимо детализировать персонализированный подход к её выполнению, рассмотреть перспективность применения у пациентов группы высокого операционно-анестезиологического риска, коморбидных больных и др.
Ограничения исследования
Возможным ограничением нашего исследования является небольшой объём выборки, в связи с чем необходимо продолжение исследования с включением большего числа пациентов. Кроме того, результаты могут варьировать при изменении техники и травматичности операции хирургами в других стационарах, ввиду чего представляется целесообразным проведение в будущем многоцентрового исследования.
ЗАКЛЮЧЕНИЕ
Результаты исследования показали, что применение мультимодальной аналгезии в комбинации с ПББН и IPACK является надёжным методом анестезиологического обеспечения при ТЭКС с эффективностью, не уступающей классической эпидуральной аналгезии. Более того, применение такой комбинации периферических блокад способствует ранней активизации и реабилитации пациентов после ТЭКС. ПЭА не способствовала ранней ускоренной реабилитации у большинства пациентов, затрудняя вертикализацию и движение в нижних конечностях в ближайшие 18 ч. Следует отметить, что широкое применение таблетированных форм трамадола позволяет дополнить аналгезирующую мощь регионарных блокад без увеличения числа нежелательных явлений.
ДОПОЛНИТЕЛЬНАЯ ИНФОРМАЦИЯ / ADDITIONAL INFO
Источник финансирования. Не указан.
Конфликт интересов. Авторы декларируют отсутствие явных и потенциальных конфликтов интересов, связанных с публикацией настоящей статьи.
Вклад авторов. А.А. Маневский, С.В. Свиридов, Т.В. Буйлова — обоснование концепции исследования, планирование исследования, проведение сравнительного анализа, обобщение результатов исследования, формулировка выводов, обзор литературы, сбор и анализ литературных источников, написание текста и редактирование статьи; М.А. Торпуджиян, Н.Ю. Борзова — курация пациентов, анализ, сбор и систематизация данных клинического исследования, обзор литературы, сбор и анализ литературных источников, написание текста и редактирование статьи, работа с графическим материалом, редактирование и переработка статьи; А.А. Тарбушкин, А.Б. Серебряков — курация пациентов, хирургическое лечение, обзор литературы, сбор и анализ литературных источников, редактирование статьи; С.М. Аскеров, Б.М. Дзейтова — оформление статьи, работа с графическим материалом, редактирование и переработка статьи. Все авторы подтверждают соответствие своего авторства международным критериям ICMJE (все авторы внесли существенный вклад в разработку концепции, проведение исследования и подготовку статьи, прочли и одобрили финальную версию перед публикацией).
Funding source. Not specified.
Competing interests. The authors declare that they have no competing interests.
Author contribution. A.A. Manevskii, S.V. Sviridov, and T.V. Builova — substantiation of the research concept, research planning, comparative analysis, generalization of research results, formulation of conclusions, literature review, collection and analysis of literary sources, and writing and editing of the article; M.A. Torpudzhiyan and N.U. Borzova — curation, analysis, collection and systematization of clinical trial data, literature review, collection and analysis of literary sources, writing and editing of the article, working with graphic material, and editing and processing of the article; A.A. Tarbushkin and A.B. Serebryakov — curation, surgical treatment of the patients, literature review, collection and analysis of literary sources, and editing of the article; S.M. Askerov and B.M. Dzeitova — design of the article, work with graphic material, and editing and processing of the article. All authors confirm the compliance of their authorship, according to international ICMJE criteria (all authors made a substantial contribution to the conception of the work, acquisition, analysis, interpretation of data for the work, drafting and revising the work, final approval of the version to be published).
About the authors
Andrey A. Manevskiy
National Medical Research Center «Medical and Rehabilitation Center»; Pirogov Russian National Research Medical University
Author for correspondence.
Email: a_manevskiy@mail.ru
ORCID iD: 0000-0002-8776-1368
SPIN-code: 8971-9870
MD, Cand. Sci. (Med.); department assistant, head of the department
Russian Federation, Moscow; MoscowSergey V. Sviridov
National Medical Research Center «Medical and Rehabilitation Center»; Pirogov Russian National Research Medical University
Email: sergey.sviridov.59@mail.ru
ORCID iD: 0000-0002-9976-8903
SPIN-code: 4974-9195
MD, Dr. Sci. (Med.), Professor, head of the department
Russian Federation, Moscow; MoscowTatiana V. Builova
Lobachevsky National Research State University of Nizhny Novgorod
Email: tvbuilova@list.ru
ORCID iD: 0000-0003-0282-7207
SPIN-code: 6062-2584
MD, Dr. Sci.(Med.), Associate Professor
Russian Federation, Nizhny NovgorodMargarita A. Torpudzhiyan
National Medical Research Center «Medical and Rehabilitation Center»; Pirogov Russian National Research Medical University
Email: margo-08.01@yandex.ru
ORCID iD: 0000-0002-7642-2918
SPIN-code: 9865-7998
clinical resident
Russian Federation, Moscow; MoscowNatalia U. Borzova
National Medical Research Center «Medical and Rehabilitation Center»
Email: borzovan@mail.ru
ORCID iD: 0000-0002-8068-9674
anesthesiologist-resuscitator
Russian Federation, MoscowAnton A. Tarbushkin
National Medical Research Center «Medical and Rehabilitation Center»
Email: dr.tarbushkin@gmail.com
SPIN-code: 8028-6115
MD, Cand. Sci. (Med.)
Russian Federation, MoscowAnton B. Serebryakov
National Medical Research Center «Medical and Rehabilitation Center»
Email: anton.serebryakov@yandex.ru
ORCID iD: 0000-0002-5621-1654
MD, Cand. Sci. (Med.)
Russian Federation, MoscowSamir M. Askerov
Pirogov Russian National Research Medical University
Email: samir2803@mail.ru
ORCID iD: 0000-0002-0169-234X
graduate student
Russian Federation, MoscowBella M. Dzeytova
Pirogov Russian National Research Medical University
Email: dzeytovab@bk.ru
ORCID iD: 0000-0002-2118-7279
SPIN-code: 1118-5211
clinical resident
Russian Federation, MoscowReferences
- Andreeva TM, Ogryzko EV, Popova MM. Travmatizm, ortopedicheskaya zabolevaemost’, sostoyanie travmatologo-ortopedicheskoi pomoshchi naseleniyu Rossii v 2017. Ezhegodnyi statisticheskii sbornik. Moscow: Teler; 2018. P. 148–149. (In Russ).
- Kurtz S, Ong K, Lau E, et al. Projections of primary and revision hip and knee arthroplasty in the United States from 2005 to 2030. J Bone Joint Surg Am. 2007;89(4):780–785. doi: 10.2106/JBJS.F.00222
- Kehlet H. Multimodal approach to control postoperative pathophysiology and rehabilitation. Br J Anaesth. 1997;78(5):606–617. doi: 10.1093/bja/78.5.606
- Harris JD. Management of expected and unexpected opioid-related side effects. Clin J Pain. 2008;24(Suppl10):S8–S13. doi: 10.1097/AJP.0b013e31816b58eb
- Mörwald EE, Olson A, Cozowicz C, et al. Association of opioid prescription and perioperative complications in obstructive sleep apnea patients undergoing total joint arthroplasties. Sleep Breath. 2018;22(1):115–121. doi: 10.1007/s11325-017-1539-9
- De Luca ML, Ciccarello M, Martorana M, et al. Pain monitoring and management in a rehabilitation setting after total joint replacement. Medicine (Baltimore). 2018;97(40):e12484. doi: 10.1097/MD.0000000000012484
- Fowler SJ, Symons J, Sabato S, Myles PS. Epidural analgesia compared with peripheral nerve blockade after major knee surgery: a systematic review and meta-analysis of randomized trials. Br J Anaesth. 2008;100(2):154–164. doi: 10.1093/bja/aem373
- Ovechkin AM, Politov ME, Panov NV, Sokologorsky SV. Anaesthetic care of patients undergoing primary hip and knee arthroplasty: evolution of views. Regional Anesthesia and Acute Pain Management. 2020;14(2):53–62. (In Russ). doi: 10.17816/1993-6508-2020-14-2-53-62
- Wainwright TW, Gill M, McDonald DA, et al. Consensus statement for perioperative care in total hip replacement and total knee replacement surgery: Enhanced Recovery After Surgery (ERAS®) Society recommendations. Acta Orthop. 2020;91(1):3–19. doi: 10.1080/17453674.2019.1683790
- Memtsoudis SG, Cozowicz C, Bekeris J, et al. Peripheral nerve block anesthesia/analgesia for patients undergoing primary hip and knee arthroplasty: recommendations from the International Consensus on Anesthesia-Related Outcomes after Surgery (ICAROS) group based on a systematic review and meta-analysis of current literature. Reg Anesth Pain Med. 2021;46(11):971–985. doi: 10.1136/rapm-2021-102750
- Chan E, Fransen M, Parker D, et al. Femoral nerve blocks for acute postoperative pain after knee replace-ment surgery. Cochrane Database Syst Rev. 2014;2014(5):CD009941. doi: 10.1002/14651858.CD009941.pub2
- Fan X, Cao F, Luo A. Femoral nerve block versus fascia iliaca block for pain control in knee and hip arthroplasties: A meta-analysis. Medicine (Baltimore). 2021;100(14):e25450. doi: 10.1097/MD.0000000000025450
- Glants S. Mediko-biologicheskaya statistika. Per. s angl. Moscow: Praktika; 1998. (In Russ).
- Wilmore DW, Kehlet H. Management of patients in fast track surgery. BMJ. 2001;322(7284):473–476. doi: 10.1136/bmj.322.7284.473
- Gromov K, Kristensen BB, Jørgensen CC, et al. Fast-track total knee arthroplasty. Ugeskr Laeger. 2017;179(38):V04170300. (In Danish).
- O’Neill A, Lirk P. Multimodal Analgesia. Anesthesiol Clin. 2022;40(3):455–468. doi: 10.1016/j.anclin.2022.04.002
- Webb CA, Mariano ER. Best multimodal analgesic protocol for total knee arthroplasty. Pain Manag. 2015;5(3):185–196. doi: 10.2217/pmt.15.8
- Wang F, Ma W, Huang Z. Analgesia effects of IPACK block added to multimodal analgesia regiments after total knee replacement: A systematic review of the literature and meta-analysis of 5 randomized controlled trials. Medicine (Baltimore). 2021;100(22):e25884. doi: 10.1097/MD.0000000000025884
- Rawal N. Epidural technique for postoperative pain: gold standard no more? Reg Anesth Pain Med. 2012;37(3):310–317.
- Anger M, Valovska T, Beloeil H, et al. PROSPECT Working Group and the European Society of Regional Anaesthesia and Pain Therapy. PROSPECT guideline for total hip arthroplasty: a systematic review and procedure-specific postoperative pain management recommendations. Anaesthesia. 2021;76(8):1082–1097. doi: 10.1111/anae.15498
Supplementary files









